打开应用

关节镜之前交叉韧带+内侧副韧带损伤1例

刘医师   北部战区总医院
关节镜

主诉 病史

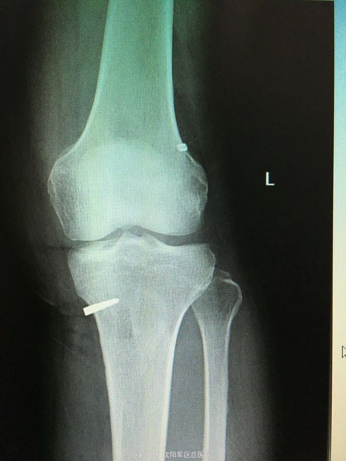
男性,44岁,摔伤所致,左膝。诊断如题

查体 辅查

前抽屉,lachman,轴移阳性,外侧应力试验因疼痛无法进行

诊断 处理

诊断如题,关节镜解决acl,mcl给予支具保守治疗

随访 讨论

这个病例值得讨论的有2点,其一,mcl即内侧副韧带的处理通常可以保守治疗,二期不稳后再行手术治疗。第二,前叉胫骨侧隧道内口的位置,一个原则,宁内勿外。

发布于 16-01-20 18:46

4 个评论

发送