下载或打开 医联APP 查看完整评论
立即下载
打开APP
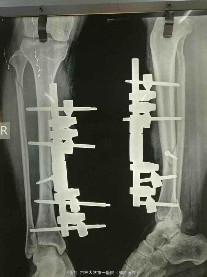
主诉:摔伤后右小腿疼痛,活动受限1小时 现病史:患者自述于1小时前在走路时不慎摔倒,伤后右小腿疼痛,活动受限,不能站起及行走,继而小腿肿胀,未行治疗,经拨打120后行夹板固定,并以胫骨骨折收入院,患者自入院以来精神状态良好,未进食水,未排二便。

查体:右小腿肿胀畸形,中段压痛,可触及骨擦感及异常活动,下肢纵向叩击痛阳性,踝关节活动良好,肢端感觉良好,足背动脉可触及 辅助检查:右小腿正侧位提示胫骨中段骨折并可见游离骨块
诊断:右胫骨骨折 治疗:骨折切开复位外固定架固定术

胫骨中段骨折的内固定方式