下载或打开 医联APP 查看完整评论
立即下载
打开APP
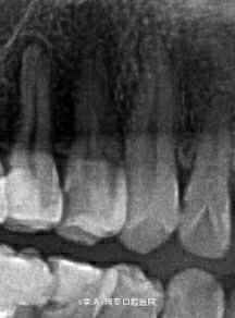
右上后牙龋坏,咬合不适1年
14深龋,探及穿髓孔 15根尖暗影,牙髓活力丧失

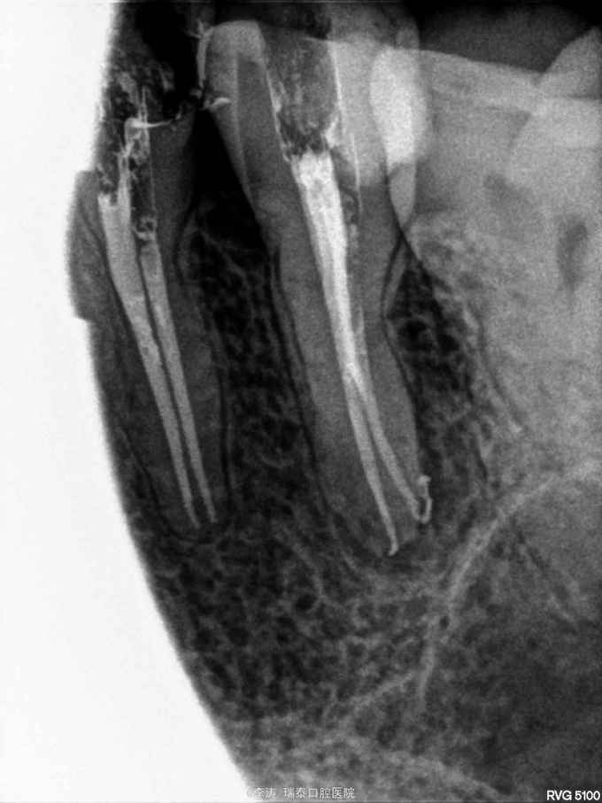
局麻下14,15开髓拔髓,封药一周,复诊行根管预备,TF均预备至2506,但放示踪尖时15牙2506的牙胶能顺利到达工作长度,14牙却无法到位,再次疏通预备冲洗后也无济于事,无奈只能用2504牙胶示踪充填。


其实我遇到过很多次这样的情况了,不知道各位在临床工作中有没有遇到过这样的情况,是TF锉本身性能的原因,还是预备手法的问题?望不吝赐教。