打开应用

恶性黑素瘤1例

伍医师   上海市第一人民医院
恶性黑素瘤 黑素瘤

主诉 病史

男性,76岁,小腿伸侧蚕豆大小新生物半年,逐渐增大,无明显自觉症状。

查体 辅查

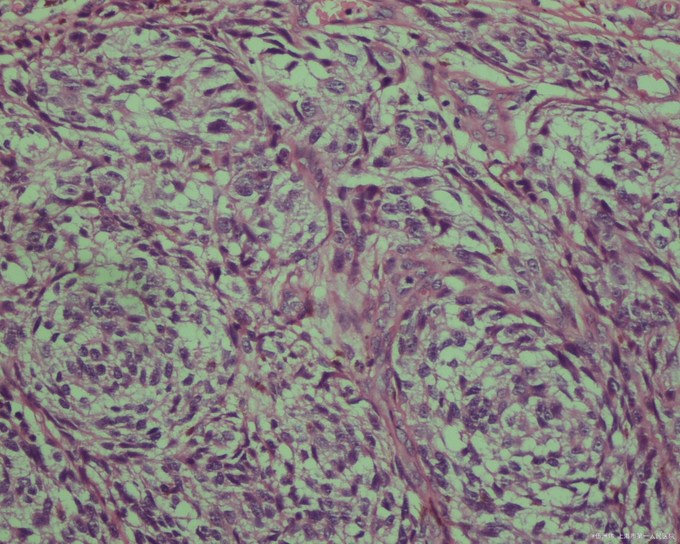
1.组织病理检查 可见黑素细胞异常增生,表皮内或表皮-真皮界处有细胞巢,核仁通常呈嗜酸性的“鸟眼样”,在侵袭性黑瘤,可在真皮或皮下组织内见到黑瘤细胞。 对于典型的黑瘤,一般HE染色切片病理学检查,即可明确诊断,但非典型的黑瘤,如无色素性黑瘤等,常需辅加一些特殊技术(如S-100和HMB-45免疫组化检查)才有助于诊断。 (1)恶性雀斑痣:组织病理早期病变仅见表皮变薄或不变,基底层色素加深,但有些区域的色素可扩展到表皮的较上层,甚至达到角质层,基底层中黑色素细胞密度增高,排列不规则,真皮上层可有少许噬黑素细胞及轻度炎症浸润,比较成熟的损害中,则可见变平的表皮内基底层中黑色素细胞密度明显增高,很多黑素细胞沿表皮真皮交界处任意排列,细胞细长呈梭形,核呈显着异性性,有的皱缩,有的远较正常者大,真皮上部除结缔组织日光变性外,常有明显带状炎症浸润,浸润范围可达周围正常表皮的下方,其中含大量噬黑素细胞。 (2)浅表扩散性原位黑色素瘤:组织病理表皮棘层肥厚,在整个表皮内杂乱散布有相当一致而圆的黑素细胞,瘤细胞主要位于表皮下部,聚集成巢,似paget细胞,而表皮上部的瘤细胞则单个散布,其核不典型,染色深,胞质丰富,含有多少不等的黑素颗粒,几乎都无树枝状突,真皮内有噬黑素细胞与炎症细胞浸润,其浸润范围可超过病变而达到周围正常表皮下方。 (3)肢端雀斑样原位黑色素瘤:组织病理早期损害表皮棘层肥厚,基底层黑素细胞及黑素增多,只有灶性黑素细胞不典型,故易认为是良性病变,以后,瘤细胞偶呈梭形并出现于表皮上部,但多数病例可同时见梭形与圆形Paget细胞,且有时以后者占优势,黑素明显增多,以致在真皮浅层出现噬黑素细胞,并在角质层也可见有大块黑素颗粒聚集。 (4)恶性雀斑样痣性黑素瘤:组织病理早期仍具有恶性雀斑样痣的特点,在深色皮损处取材时可见表皮基底细胞黑色素增多,整个基底层中可见奇形怪状的梭形黑色素细胞,其核有显着的异型性,在淡色皮损处取材时,基底层中可见多数大而异形的黑素细胞,严重者这些异形细胞几乎全部代替了基底层细胞,有些瘤细胞聚集成簇,并已侵袭至真皮,真皮中的瘤细胞呈梭形,聚集成团,含黑色素量不多,而周围的巨噬细胞中则含有很多黑色素,瘤细胞常侵犯毛囊的外根鞘,具有诊断价值,真皮浅层胶原纤维常有嗜碱性变,在肿瘤周围可见带状炎症浸润。 (5)浅表扩散性黑色素瘤:组织病理在侵袭性生长不明显时仍可见Paget细胞样黑色素细胞散布于表皮内,但在真皮乳头内亦见有上述细胞,表示已突破原位,侵袭性生长时,真皮内即出现瘤细胞结节,瘤细胞呈上皮细胞型,梭形细胞型,痣细胞样或混合存在,如以上皮细胞为主,可形成腺泡状结构,周围有细的胶原纤维环绕,在肿瘤病变的临近真皮内可见带状炎症浸润。 (6)肢端雀斑痣性黑色素瘤:组织病理早期损害的主要特点是不典型黑色素细胞以恶性雀斑样痣性黑色素瘤的扩散方式向上移行,但其下方真皮内的胶原纤维无光线性改变,大多数不典型性黑色素瘤细胞聚集在基底层及其上方,但一些小的区域内出现类似浅表扩散性黑色素瘤的改变,以后则向真皮内侵袭性生长,转移快。 (7)结节性黑色素瘤:组织病理瘤细胞侵犯真皮,并出现瘤细胞结节,但邻近表皮内无病变,间或在肿瘤旁可见少许表皮内病变,但一般不超过3个表皮突范围。 (8)痣细胞恶变:组织病理黑痣的恶变通常最早发生在真皮表皮交界处,痣细胞呈异常增生,且痣细胞巢扩大互相融合,在痣细胞巢之间常有异型黑色素细胞增生,异型黑色素细胞不仅在表皮内扩展,而且向真皮内侵袭性生长,在真皮内不出现成熟现象,常有核丝分裂象,偶然,痣细胞的恶变也可从真皮深部开始,但在其他部位仍可见残余的痣细胞。 (9)无色素型恶性黑色素瘤(amelanotic malignan melanoma)组织病理:在HE染色切片中无明显黑色素可见,但多做切片或银染,仍能发现少数细胞含有黑色素,如用电镜检查或以新鲜组织作dopa反应则能证实黑素的存在,故无黑色素性恶性黑色素瘤并非没有黑色素,只是在常规染色中不能见到而已。

诊断 处理

诊断:恶性黑素瘤 治疗:手术切除,淋巴结清扫,PETCT screening。

随访 讨论

诊断要点 临床表现 皮肤恶性黑素瘤可分为四种类型,即恶性雀斑样痣(一种原位黑素瘤)、表浅性播散性黑素瘤、结节性黑素瘤和肢端雀斑样痣黑素瘤。这四种类型的黑素瘤各有特点,它们共同的特点为好发于40岁以上的中老年人,好发于日光照晒部位或摩擦挤压部位,损害为带有黑素的肉瘤样肿瘤,发展快速,容易破溃,经常出血,肿瘤的基底部总会有黑色,很快近卫淋巴结转移,迅速转移到重要脏器导致死亡。 诊断标准 本病为肉瘤样肿瘤,基底部有黑色浸润,极易出血,发展快速,容易转移。组织病理为黑素细胞的恶性肿瘤,根据病理侵犯的深度可分为五级。Ⅰ级:恶性黑素瘤细胞限于表皮。Ⅱ级:侵及真皮乳头层。Ⅲ级:侵及乳头下血管丛,但尚未侵入真皮网状层。 鉴别诊断 本病应与色素性基底细胞癌、色素痣、蓝痣、鳞状细胞癌及良性幼年黑素瘤等病相鉴别。 治疗概述 手术切除 越早越好,切除的范围要根据黑素瘤的深度来确定。Ho等介绍,黑素瘤肿瘤<1.0mm,切除周边范围1cm;深度为1.0~1.5mm,切除周边范围1.5cm;深度为1.5~4.0mm或>4mm,切除范围为3cm。而深度要达肌筋膜。如果是肢端黑素瘤,需要考虑截肢术。 选择性区域淋巴结切除术 因为黑素瘤患者近卫淋巴结的转移度高达90%,因之,黑素瘤的近卫淋巴结要做早期手术切除,足部黑素瘤不仅要切除腘窝淋巴结,还要切除腹股沟淋巴结。 化学灌注疗法 适用于肢体的黑素瘤,用米尔法兰做患肢端动脉注射以灌进黑素瘤体内。这种技术成功,可减少截肢术的应用。 化疗 黑素瘤的晚期或有广泛转移必须采用联合化疗,联合化疗方案有,白介素2+顺铂+长春新碱+达卡巴嗪;BELD,即博莱霉素加癌的散加环己亚硝脲加氨烯咪胺等联合化疗方案。Kessinger等对105例用大剂量化疗和自身骨髓移植,48%缓解,34%好转。 免疫疗法 免疫疗法治疗黑素瘤还在研究中,用非特异性免疫刺激剂卡介苗(BCG)注射到黑素瘤的瘤体中有的病例有疗效,总的估计大约有58%注射结节和14%未注射结节好转。 生物反应修饰剂:采用重组干扰素治疗黑素瘤有些进展。用中到大剂量干扰素治疗309例,平均为15%的有效率。也有用重组白组胞介素:治疗播散性黑素瘤,早期报道对内脏和皮肤转移肿瘤的缓解率最高为50%。 放射治疗 原来黑素瘤对放射治疗是抵抗的,现在使用大剂量(每阶段>4Gy),其治愈率。最低从0~25%,最高从45%~71%。近来证明用人工加热器可以增加放射线的疗效。在放射治疗前或治疗中温度升高到42℃或43℃达30~45min,可以提高疗效。 其他治疗 (1)壬二酸(azelaic acid):用20%壬二酸霜治疗50例黑素瘤,所有病例都获临床和组织学吸收。 (2)维A酸类:Levine等报道2例皮肤转移黑素瘤局部外用维A酸,1例临床和组织学缓解,另1例有部分临床和组织学缓解。

发布于 16-01-11 10:14

20 个评论

发送