打开应用

上颌窦内提升术伴上颌窦囊肿一例

林医师   深圳三九齿科门诊部
牙周炎

主诉 病史

要求种牙

查体 辅查

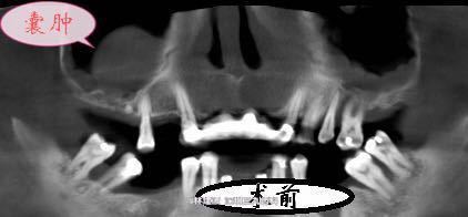
17,16,14缺失。15松动。 CT示:右侧上颌窦内中等密度影,窦嵴距约2mm。

诊断 处理

诊断:17,16,14缺失 15牙周炎 右侧上颌窦囊肿 处理:15拔除 16行上颌窦内提升术,植入人工骨粉,盖膜。暂时保留上颌窦囊肿,择日耳鼻喉科会诊。

发布于 16-01-09 22:46

6 个评论

发送