打开应用

双侧侧切牙缺失开辟间隙后种植修复

陈医师   梁山县人民医院
牙缺失

主诉 病史

患者要求解决牙齿不整齐

查体 辅查

上颌双侧2先天缺失,上前牙直立,上唇略凹

诊断 处理

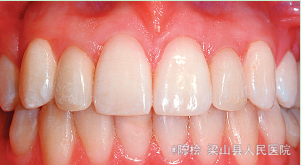
诊断:12/22牙先天缺失,牙列不齐 治疗:考虑患者面型略凹,正畸开辟12/22牙间隙后行种植修复。

随访 讨论

术后患者牙列整齐美观,笑线协调,患者满意

发布于 16-01-08 23:03

9 个评论

发送