下载或打开 医联APP 查看完整评论
立即下载
打开APP
15岁女孩,因阴道流血和流淡黄色恶臭味引导分泌物一年就诊 13岁初潮,一年后有规律月经周期 但是在最近一年,患者每隔1-10天就会阴道出血,长达5到15天 一周前行活检由阴道排除的一个脆性的灰白色组织(3*3cm),提示横纹肌肉瘤
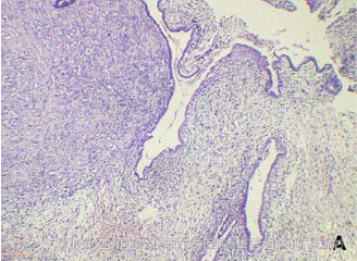
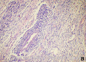
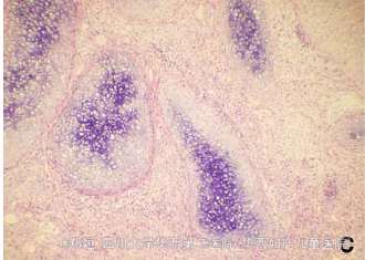
行腹部超声提示在宫颈和上段阴道处有一5*5cm的息肉状肿块 CT提示同样的信息 无淋巴结增大 胸片结果提示无肺转移 在麻醉下行双合诊,提示有一个广基底的灰白色息肉状肿块在宫颈处,并垂至阴道,阴道粘膜未受累 取一部分组织行活检病理提示有良性腺样组织和高分化肉瘤组织共存 免疫组化提示CK、vimentin, desmin和CD10(+)




诊断为宫颈内膜腺肉瘤 行全子宫切除术+双侧卵巢切除术+盆腔淋巴结清扫+部分网膜切除+腹腔冲洗 未行辅助治疗 随访10个月,无肿瘤复发和转移


子宫颈肉瘤是一种少见的恶性程度较高的女性生殖道肿瘤。宫颈肉瘤因发病率低,无特异性临床表现,不少患者是在手术,包括宫颈肌瘤切除术及术后病理学检查时才发现。宫颈增大,尤其是宫颈突然增大,伴阴道出血,阴道分泌物明显增多,应怀疑有宫颈肉瘤的可能。目前主张采用综合治疗,以手术治疗为主,放射治疗为辅,术前术后全身或腹腔内应用化疗。如临床症状及B超高度提示有宫颈肉瘤者,术中应高度重视。