打开应用

脑出血血肿穿刺1例

乔医师   中国人民解放军联勤保障部队第九八七医院
脑出血

主诉 病史

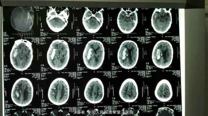
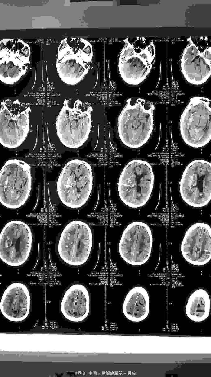
突发意识不清25小时入院,颅脑CT提示右侧基底节脑出血,量约35ml,左侧基底节区脑软化。胸部CT提示慢支,肺气肿,肺大泡,双下肺感染伴纤维化。

查体 辅查

诊断 处理

患者入院后急诊局麻下行脑内血肿穿刺引流术,术后给予止血,化痰,营养神经,营养支持等治疗。术后第二天复查CT提示出血大部分引出。

随访 讨论

对于年龄较大,基础疾病多,出血量较大患者,局麻下行血肿穿刺可明显缩短住院时间,降低并发症,改善愈后。

发布于 16-01-05 12:10

18 个评论

发送