下载或打开 医联APP 查看完整评论
立即下载
打开APP
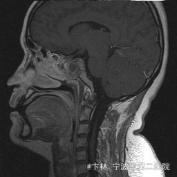
40岁女性,因“双眼视力下降三月余伴停经1个月余”入院。 患者三月前无明显诱因下出现双眼视力下降,视物模糊,尤以左眼为甚,只能近距离看到手动,无头痛、头晕,无恶心、呕吐,无视物旋转,无行走困难等不适,患者曾在某眼科医院就诊治疗,考虑为双眼视神经炎,予以营养,补液对症等治疗(具体不详),情况不见好转,近一月来患者月经停止,来我院神经外科门诊,予以查头颅CT,头颅MRI,提示“垂体大腺瘤”,为求进一步治疗收住入院








双眼视力下降,视物模糊,左:眼前手动/20CM 右:0.4 ,双颞侧视野粗测障碍 ,余查体无异常。
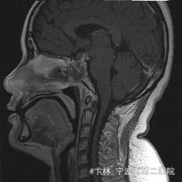
予以完善血,尿,粪常规检查,及凝血功能全套,输血功能全套及垂体功能全套,蝶鞍冠状CT等术前检查措施,行经蝶入路垂体瘤切除术。术后予以对症,补液,调节血电解质等治疗,患者视力明显改善,复查头颅MRI提示肿瘤基本全切,一周后患者出院。






此病人颅内垂体瘤体积较大,突破鞍隔压迫视交叉,故患者视力视野障碍为首发症状,该肿瘤主体有大部分向蝶窦腔生长,因此采用经蝶手术入路,肿瘤切除满意,术后患者视力视野恢复满意,。