下载或打开 医联APP 查看完整评论
立即下载
打开APP
男,52岁 主诉:上腹部胀痛30小时, 现病史:30小时前饮酒后引起上腹部胀痛,持续性,逐渐加重,累及腰背部,恶心,呕吐数次胃内食物,无发热,未治疗,因不见好转来诊;病来无心悸、气短,排气、排便可,排尿正常。
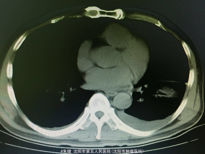
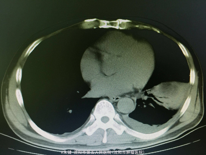
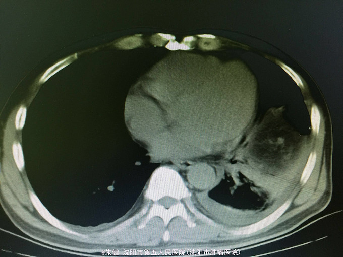
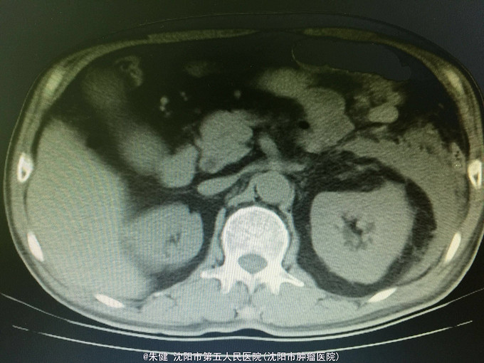
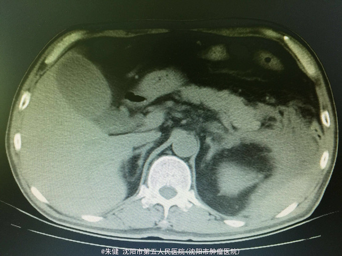
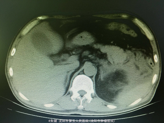
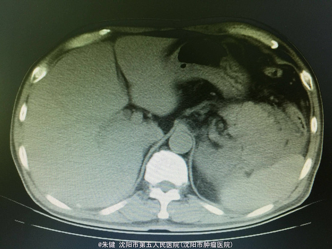
一般状态可,腹部平坦,未见肠形及蠕动波,剑突下及左侧上腹部压痛,轻度肌紧张,未及包块,无移动性浊音,肠音正常,肾区无扣痛。 辅助检查:血常规:白细胞13.6*10^9/L,中性83.3/L;尿淀粉酶:214U/L,上腹部CT:左侧胸腔积液,左肺下叶可见斑片及索条状影;胆囊增大,胆道内未及结石影;胰腺形态及密度正常,胰腺尾部周围可见索条状影及积液影。








诊断:急性胰腺炎 处理:给予禁食、补液、抗炎及抑肽酶治疗,病情逐渐好转,一周后出院。
一月后随访病情稳定,无反复。 讨论:此病人为单纯性胰腺炎,多由于暴饮、暴食引起,也有因为胆道结石引起,称为胆原性胰腺炎,胰腺炎可以引起反应性胸腔积液;单纯性胰腺炎预后较佳,重症胰腺炎比较凶险,应该引起足够重视。