下载或打开 医联APP 查看完整评论
立即下载
打开APP
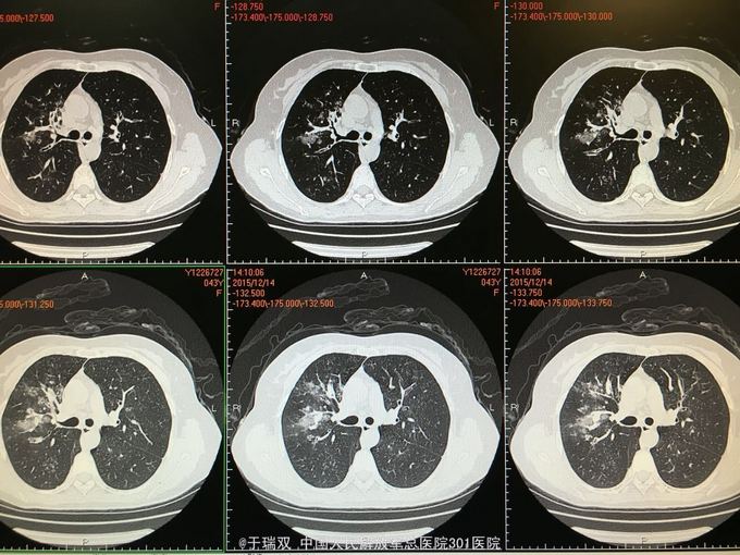
患者中年女女性,2014年10月无明显诱因出现咳嗽咳黄白痰,伴有喘息,自行药物治疗无好转。2014年11月下旬就诊于北京某医院诊断为“变应性支气管肺曲霉病、真菌性肺炎”先后给予伊曲康唑静滴及口服伏立康唑抗真菌、平喘等治疗后症状好转。复查CT炎症也吸收好转,于2015年3月停用以上药物。2015年11月患者再次出现上述症状,胸部CT见右肺班片状实变影,就诊于我院给予左氧氟沙星、西替利秦及化痰止咳治疗后略有好转,遂住院。2015年11月5日CT(图1、2),2015年12月14CT(图3、4、5、6)






查体未见特殊阳性体征。血常规嗜酸升高11.4%。血沉正常。尿便常规及凝血正常。G试验及GM试验均阴性。






肺部感染:变应性支气管肺曲霉菌病?侵袭性肺部曲霉菌病? 氯雷他定抗过敏,两性霉素B雾化吸入,乙酰半胱氨酸雾化,伏立康唑静点0.2,每12小时一次。
该患者最后诊断考虑哪种?患者反复曲霉感染原因是什么? 如何规范治疗,疗程?停药的指征? 患者家中无宠物饲养史,居住环境有潮湿情况,但家中其他人无此种病例。 肺曲霉菌病是真菌感染性疾病中的一种特殊类型,病死率可达30~90%,该病可分为曲霉菌球、变态反应性支气管肺曲霉菌病及侵袭性肺曲霉菌病3种主要类型。