打开应用

树脂嵌体一例

赵思医师   陕西省人民医院
慢性根尖周炎 牙髓炎

主诉 病史

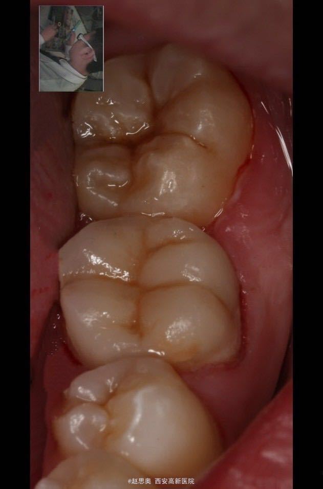
患者女,31岁,患牙龋坏致牙体缺损,自发疼痛求诊

查体 辅查

x线片示根管治疗恰填,

诊断 处理

诊断为不可复性牙髓炎,慢性根尖周炎 处理,根管治疗后间接树脂修复

随访 讨论

自我评价:感觉窝沟走形不好,窝沟深度不协调,牙尖分布不够好。预后情况和患者交代清楚,告知 术后隐患,定期复诊。 术后思考:意见1、用单反相机拍摄口内同名牙及邻牙照片,堆塑时放大照片用以参考窝沟走形及牙尖斜度 弧度。

发布于 16-01-01 14:28

8 个评论

发送