下载或打开 医联APP 查看完整评论
立即下载
打开APP
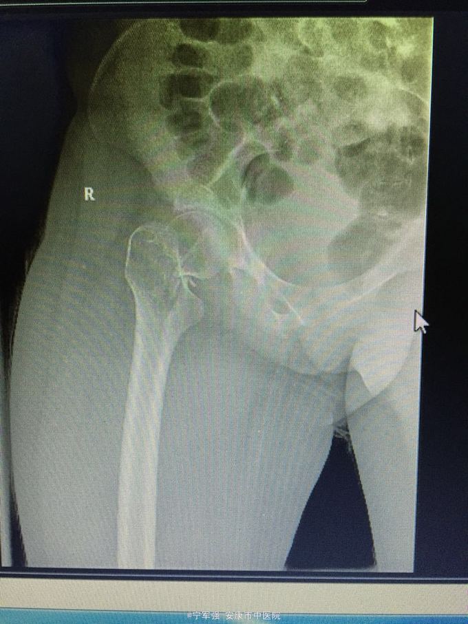
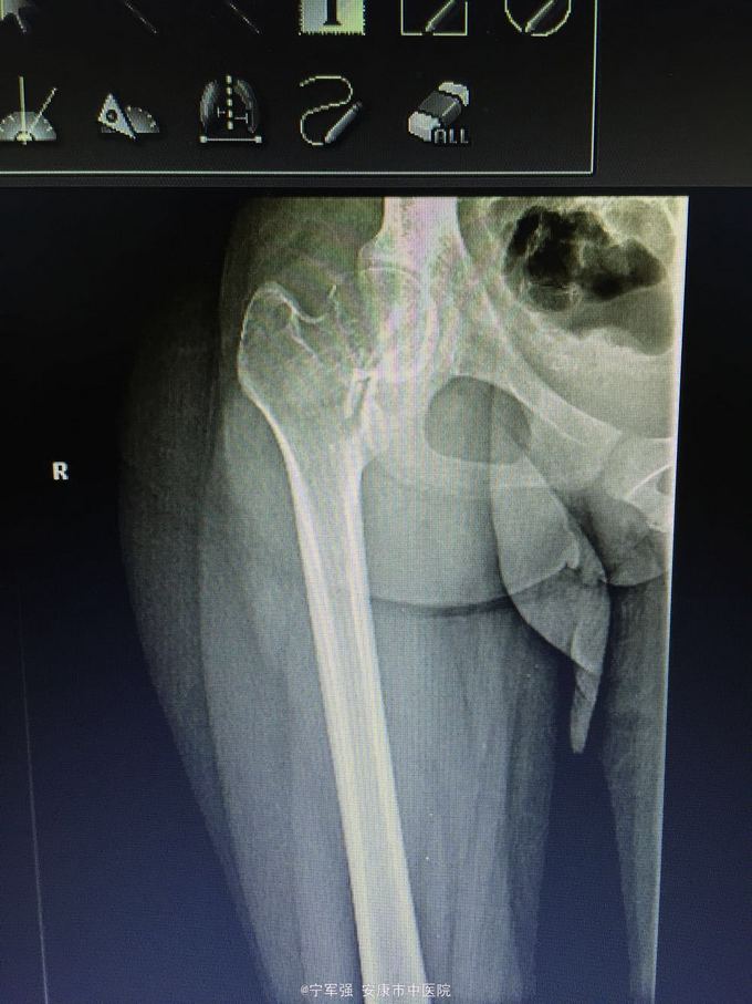
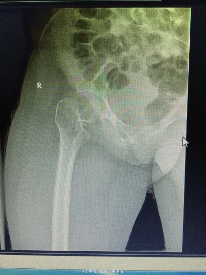
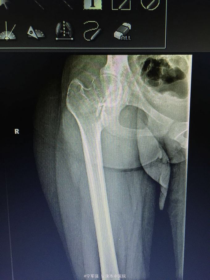
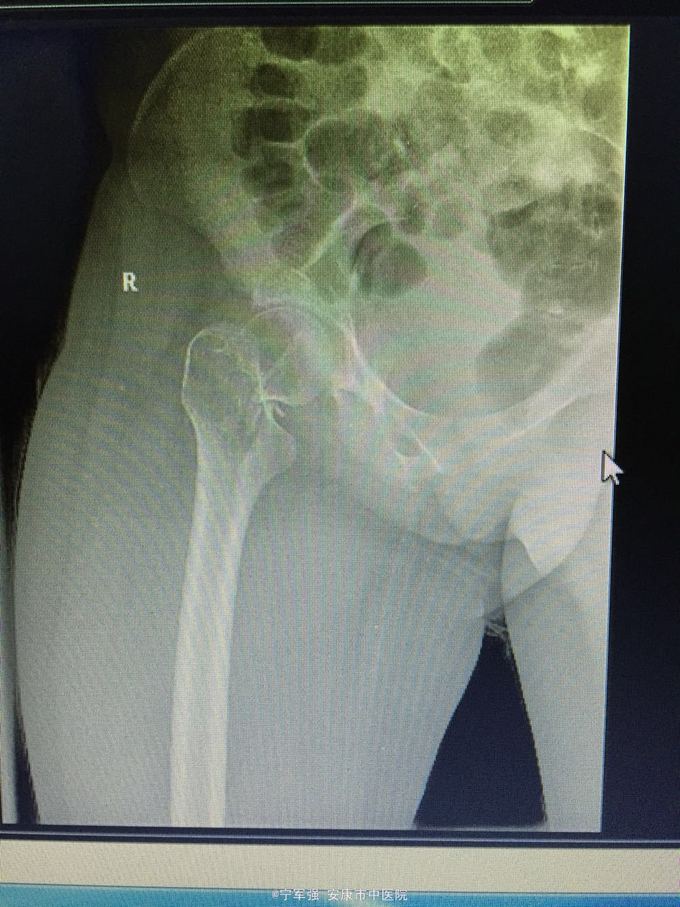
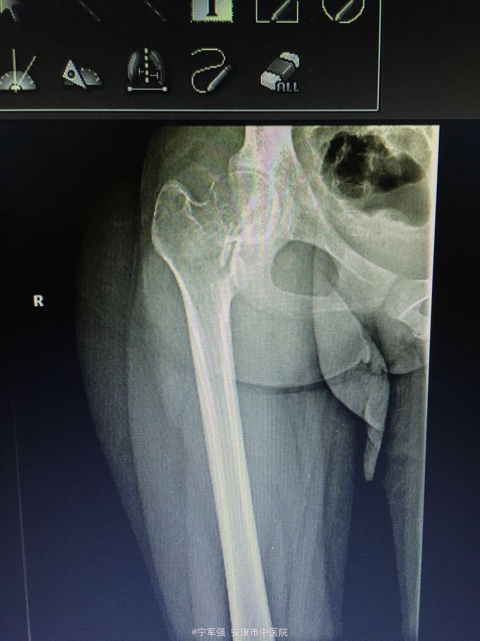
女性,20岁,外伤后右髋部疼痛不适活动受限 伤前身体尚可,5个月前有右大腿不适感,当时未行X线检查



查体:右髋部稍肿,局部压痛(+),纵向叩击痛阳性,右下肢短缩约1.5CM,末梢血运及皮肤感觉良好。 肿瘤标志物(-),碱性磷酸酶不高。








右股骨颈病理性骨折 处理:1.进一步完善检查髋关节MRI。 2.病检,确定性质; 3.消肿对症治疗; 4.择期植骨内固定术
求各位专家指导手术方案及判断愈合情况,谢谢







