下载或打开 医联APP 查看完整评论
立即下载
打开APP
打开应用
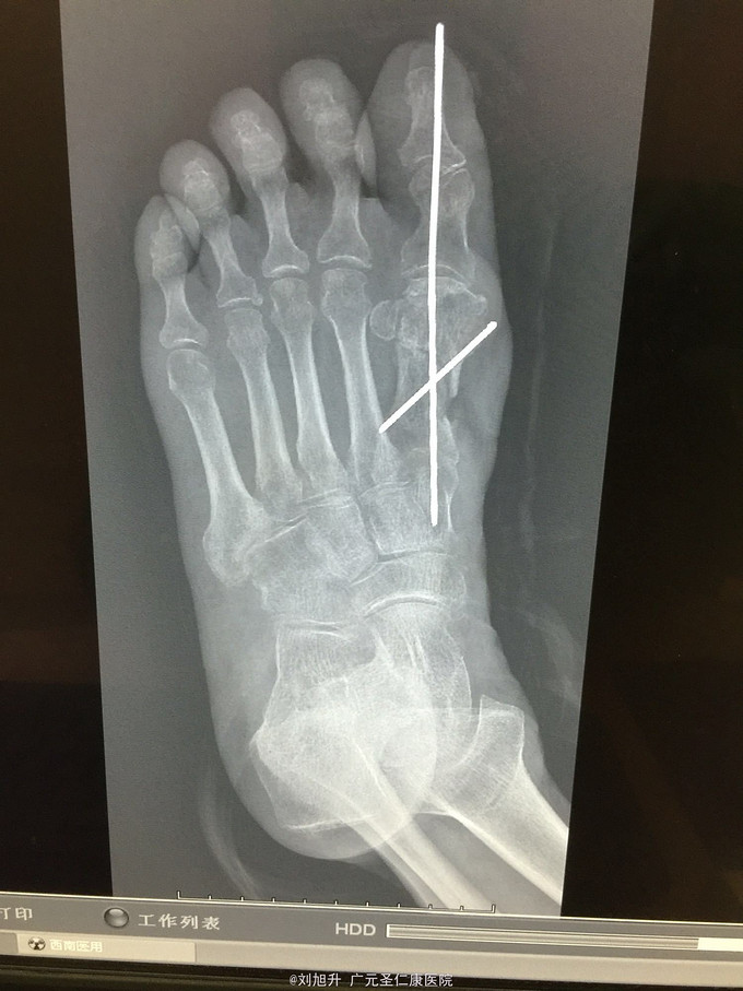
左足背砸伤
刘医师
广元圣仁康医院
主诉 病史
患者,男,61岁,因左足背重物砸伤5小时入院
发布于 16-01-01 11:13
医联推荐你看
右足压砸伤
左足背砸伤
左拇指压砸伤
共
0
个评论
暂无评论
发送
0