下载或打开 医联APP 查看完整评论
立即下载
打开APP
患者,男,主诉:反复发热2月,再发伴头痛12天 病史:2月前出现发热,伴咳嗽、咳痰,12天前出现头痛
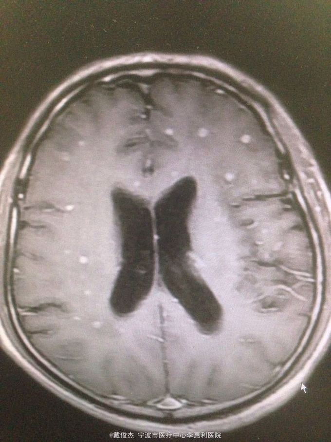
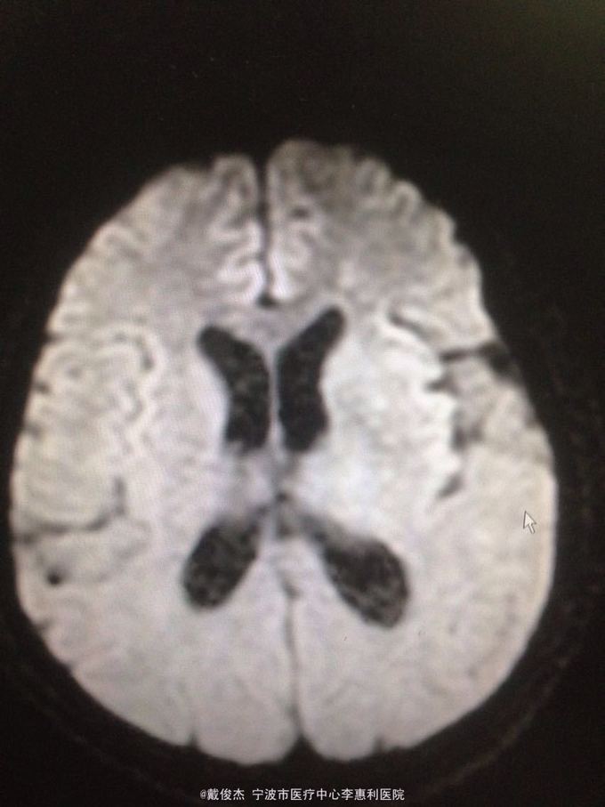
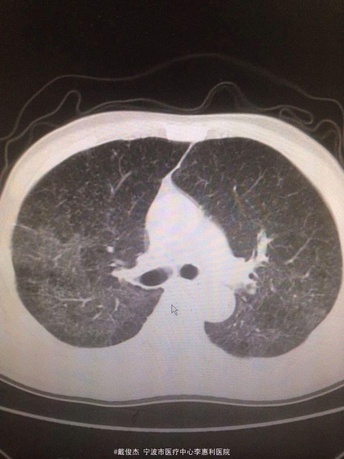
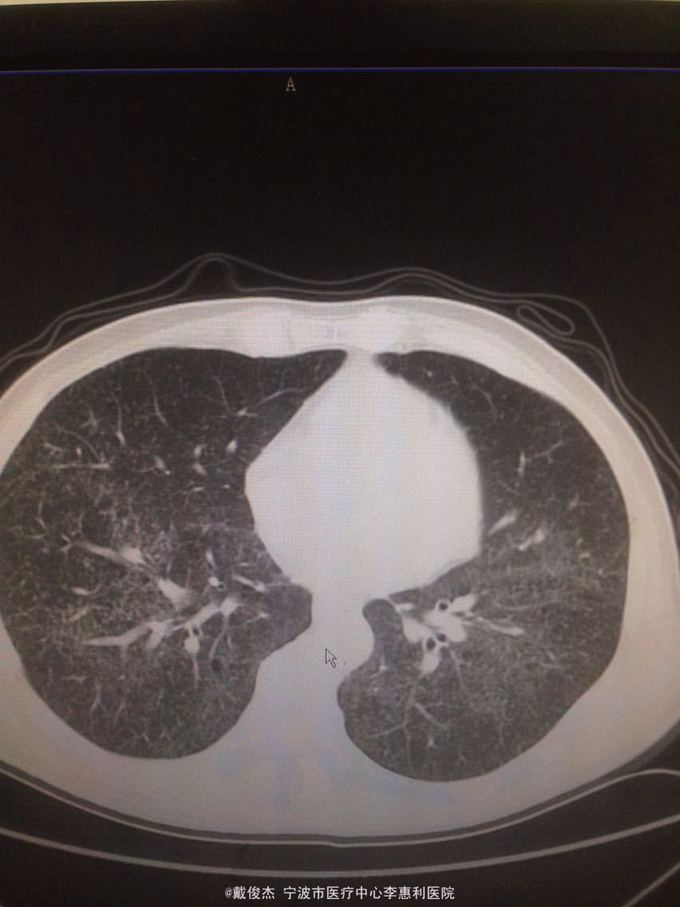
查体:神志清,双肺啰音,颅神经阴性,颈抵抗,四肢肌力正常,双巴氏征阴性 辅查:脑脊液压力380mmH2O,细胞4100/ul,多核90%,单核10%,蛋白223mg/ml。胸部CT示:两肺多发粟粒小结节。头颅MRI示:双侧大脑半球、脑干、小脑多发病灶。






诊断:结核性脑炎,肺结核 处理:抗痨治疗,激素,降颅压,保护神经和对症支持治疗
该患者考虑肺结核致结核性脑炎