主诉:右上后牙牙龈反复肿痛数月 现病史:患者述数月来右上后牙牙龈反复肿痛,偶有溢脓,不敢咬合,服用消炎药略缓解,偶有冷热刺激痛,进来就诊。 既往:高血压史数年,服用降压药控制140/80mmHg,牙周治疗史,否认过敏史。
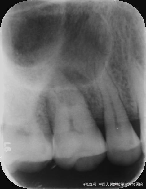
检查:16牙冠完整,牙龈红肿,腭侧可见一窦道,PD=13-5mm,叩痛(++),松动II度。 X线示:16髓腔部分钙化,根管影像不清晰,未见根充影像,根尖周大面积低密度影,近远中根周膜增宽。


诊断:16牙周牙髓联合病变(逆行性牙髓炎) 治疗计划:16RCT+牙周基础治疗+改良翻瓣术 初诊:常规局麻下开髓揭顶,髓腔钙化,少量髓石,超声探查根管,拔髓,根管较细,疏通,封EDTA,一周后复诊。 复诊1:去暂封,继续探查根管,P、MB通畅,DB根尖区钙化,电测根长:P=MB=17.5mm,DB=15mm,EDTA下手扩+机扩+protaper根备至F2,生理盐水+双氧水反复交替冲洗,干燥,CP棉球+ZOE暂封,约日复诊。 复诊216消毒,局麻下洁治,刮治,小翻瓣术,搔刮出大量肉芽组织及少量牙石,根面平整,浓替硝唑冲洗,复位,OHI,约日复诊。 复诊3:腭侧窦道基本愈合,去暂封,超声荡洗,干燥,试尖可,糊剂+热牙胶根充,棉球+ZOE暂封,2周后复诊树脂充填。 复诊4:复诊常规树脂充填,腭侧窦道愈合(忘记拍片子,太遗憾,但是患者1个月后会过来复查)。



牙周牙髓联合病变的牙齿经常屋漏偏逢连夜雨,本身都已经很难治疗,还出现根管钙化不通,难以达到工作长度,但是遇到这种情况就放弃治疗了吗,当然不是,既然不通,可以不强行扩通,可以把目前能够做到的做到最好,看看预后,当然,这种情况得是病人理解并且配合,有的时候会有意想不到的收获,找个病例远中根尖没有到达工作长度,短期效果还是不错,期待长期效果,我还是抱了一定的希望的。