下载或打开 医联APP 查看完整评论
立即下载
打开APP
患者男,70岁,主因左耳听力减退20余年,行走不稳半月入院。患者20余年前出现左耳听力减退,无其他不适。半月前出现行走不稳,向左侧倾倒,伴左侧耳鸣、左侧面部麻木,无意识障碍、头痛,无吞咽困难、饮水呛咳、声音嘶哑等。
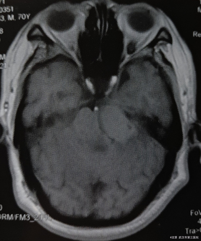
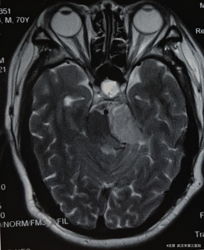
查体:生命体征平稳,心肺腹体检无明显异常。专科检查:左眼外展稍受限,左侧咀嚼肌力量减弱,左侧颜面部痛温觉减退,左侧听力减退,左侧指鼻、指指及跟膝胫实验欠协调,Romberg征阳性。 影像学:头部MRI:左侧桥小脑角占位,脑干受压。


诊断:桥小脑角肿瘤 治疗:全麻下左侧桥小脑角区脑膜瘤切除术 病理:(左侧桥小脑角区)脑膜瘤(WHO I级)
手术治疗是该病的首选方法,术中需仔细辨认肿瘤与周围结构的关系,利用神经电生理监测技术,在保证安全的前提下尽可能全切肿瘤。