下载或打开 医联APP 查看完整评论
立即下载
打开APP
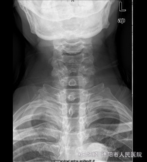
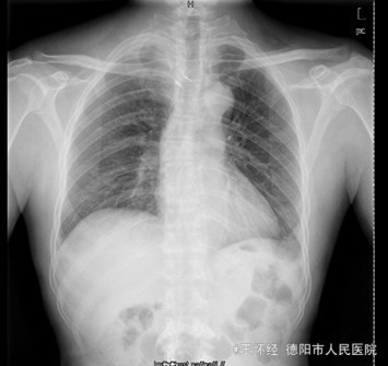
患者男,52岁,因“车祸伤后右肩部、右胸壁疼痛伴右上肢活动障碍1+天”入院。入院1+天前,患者因车祸伤致右肩部疼痛、有胸壁疼痛、右上肢活动障碍、无法上抬,无明显麻木,右胸锁关节处可见一明显隆起硬块、压痛明显,同时自觉少许呼吸困难,我院急诊行X光片示“右胸锁关节脱位”,遂收住我科。


查体:右侧胸锁关节处叩压痛明显,可扪及一隆起、质硬,右侧胸壁乳头周围肿胀,右肩外展因胸锁关节处疼痛而受限受限。 辅查:X片及CT提示示右侧胸锁关节向前脱位、双侧第一肋骨骨折

初步诊断:车祸伤:1.右侧胸锁关节前脱位;2.双侧第一肋骨骨折。 诊疗计划:右侧胸锁关节脱位切开复位,锚定固定修复关节囊及周围韧带。

术中见右侧胸锁关节处可见软组织突起,可扪及活动的锁骨远端。皮下软组织挫伤、水肿,胸锁乳突肌止点完整。胸锁关节前脱位,胸锁关节囊、关节软骨盘撕裂。
