下载或打开 医联APP 查看完整评论
立即下载
打开APP
颈背部疼痛,双手手指麻木一年余 患者女性 ,今年59岁,一年前发生右手指麻木疼痛感,颈背部酸痛,后进行针灸推拿治疗,症状好转,但手指麻木越来越严重,后在当地医院检查诊断为颈椎病,具体治疗不详。现患者出现上臂疼痛,双侧指尖麻木,并伴有颈肩部疼痛,脚底无踩棉花感,下肢无感觉运动异常。


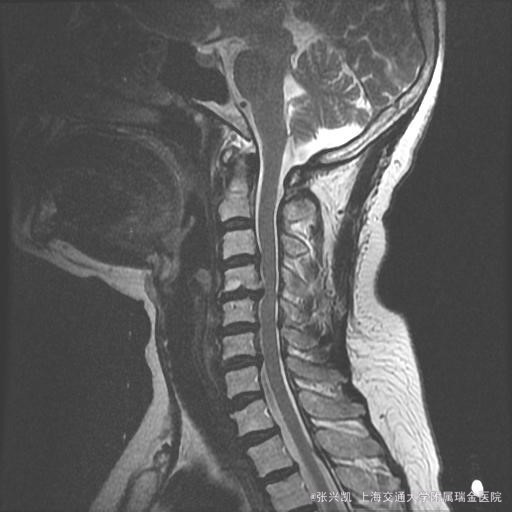
查体:脊柱无侧弯畸形,肩背部压痛,压头试验(+),双侧肌力肌张力可,双侧指尖至手肘感觉麻木疼痛。肱二头肌三头肌反射(+)。下肢肌力可,膝腱反射正常,巴氏征阳性。 颈椎MRI示:C3-7椎间盘突出伴后纵韧带骨化,C5-6水平椎管狭窄,脊髓受压 颈椎正侧位:颈椎曲度变直,退行性改变




诊断:颈椎椎管狭窄 OPLL 治疗:颈椎后路椎板成形术


术后患者痛觉过敏症状减轻,给予神经营养药物治疗 颈椎后路手术应注意保护C2,C7,棘突,可减少术后颈部疼痛。