下载或打开 医联APP 查看完整评论
立即下载
打开APP
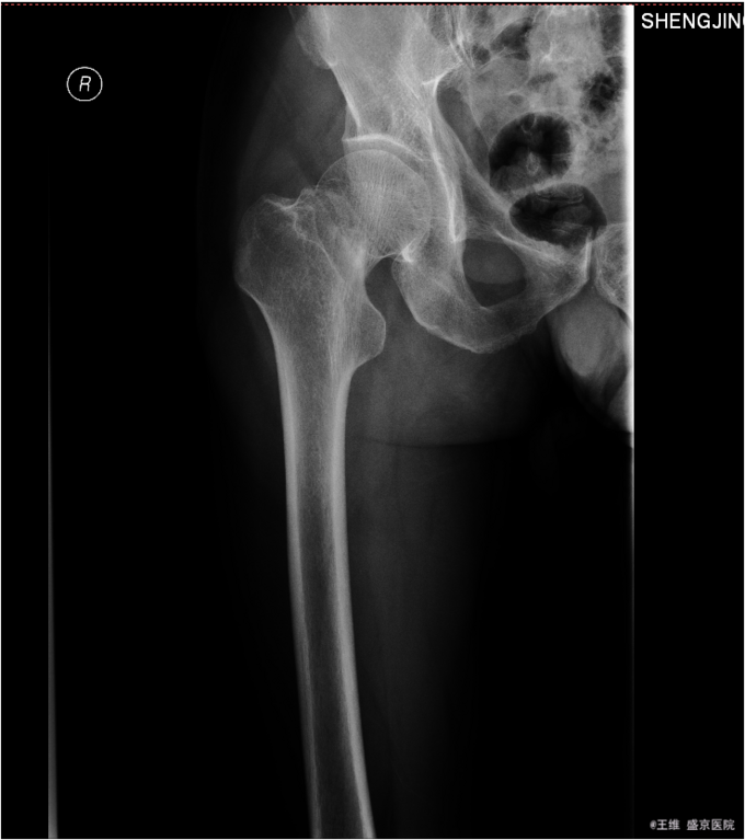
1.患者男性,67岁,以“摔伤后右髋部疼痛肿胀活动受限5小时”为主诉入院。 2.现病史:患者及家属自述于2015年12月17日在沈阳市骑车时被机动车刮碰后摔倒,后自觉右髋部疼痛肿胀活动受限,摔倒后无昏迷。遂被急送至我院急诊,急诊行骨盆CT示:右股骨颈骨折。现患者以“右股骨颈骨折”为诊断收入我科。患者病来,意识清楚,自诉无头晕头迷,恶心呕吐,无咳嗽咳痰,无心慌气短,饮食正常,二便正常,体重无变化。


专科查体:右髋部肿胀,未见明显瘀斑,活动度减低。右髋部压痛阳性,叩击痛阳性,右下肢缩短畸形,缩短3cm,外旋畸形,外旋60°。右膝及右踝关节活动无明显异常。双侧足背动脉搏动有力,肢体末梢血运良好,皮温正常。远端足趾感觉运动正常。 辅助检查:骨盆三维CT:右股骨颈骨折



诊断:右股骨颈骨折(Garden IV型) 患者入院后完善相关检查后,择期性右全髋关节置换术,术后患者脚穿矫正鞋,外展中立位,术后3天后患者自动退院,
