下载或打开 医联APP 查看完整评论
立即下载
打开APP
52岁,女性,因“反复头痛10余年,加重1年”入院。患者10余年前无明显诱因始出现头痛,表现为全头发作性胀痛,反复发作,无伴头晕、恶心,无呕吐、肢体抽搐,自行服药(具体不详)及休息后缓解,未予特殊处理。1年前患者觉头痛逐渐加重,以右顶部为甚,劳累或日晒后加重,无头晕、视物旋转,无恶心、呕吐,无发热、寒战,休息或平躺后症状稍有缓解,自行服药不能改善,至当地医院就诊,查颅脑MRI和CT提示“右侧顶部脑膜瘤”。
查体:神清语利,反应灵敏。记忆力、计算力、定向力、理解力均未见异常。双侧瞳孔等圆等大,直径约2.5mm,光反射灵敏,眼球活动好,视野粗测无明显缺损。伸舌居中,余颅神(-)。颈软,无抵抗。四肢肌力、肌张力正常,左下肢感觉稍减退。生理反射存在,病理反射未引出。小脑共济失调征(-)。







行“右顶开颅右顶部矢状窦旁脑膜瘤切除术”。取右顶马蹄形手术切口 ,颞侧翻开皮瓣,电刀切开骨膜,中线矢状缝上前、后极各钻一孔,颞侧后方钻一孔,铣刀铣一长方形(7*6cm)骨瓣,见硬膜表面较多点状渗血,予充分止血,悬吊硬膜。 显微镜下切除肿瘤:沿肿瘤边缘剪开硬膜后,见一大小约5*5*6cm肿瘤,沿硬膜内侧面呈匍匐状生长,边界与脑组织有蛛网膜分隔,质地较韧,基底与矢状窦关系密切,靠内侧与大脑镰粘连紧密,血供丰富。仔细分离肿瘤与脑组织的粘连,全切除肿瘤。肿瘤基底与矢窦粘连紧密,并破坏矢状窦侧壁,予低功率电刀反复烧灼,直至肿瘤无明显血供表现。严密止血后常规关颅。
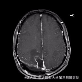
术后1周复查头颅MR未见明显肿瘤残留,拆线后出院。






