15岁女性患者后,4周前无明显诱因下出现双小腿、双足背及双手背红色皮疹,后逐渐出现双侧颊部、腰骶部及臀部皮疹,一直未予诊治,3周前出现左侧踝关节疼痛,无红肿,自行外敷后疼痛减轻,后出现右侧踝关节疼痛,于外院诊断为系统性红斑狼疮 狼疮性肾炎 急性肾损伤,予谷胱甘肽抗氧化、塞来昔布、扶他林消炎止痛及泼尼松45mg(30/11)、羟氯喹0.1g bid治疗,关节疼痛缓解、皮疹消退。
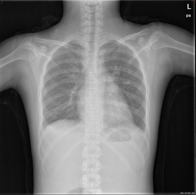
查体:T:38.5℃ P:102次/分 R:29次/分 BP:156/96mmHg 鼻部皮肤见散在淡红色皮疹,双小腿皮肤见色素沉着,未见皮疹、瘀斑。右颌下扪及一黄豆大小淋巴结,活动可,无压痛,质中,余浅表淋巴结未触及肿大。脸部淡红色碟形红斑,心肺听诊未闻及异常,腹软,无压痛及反跳痛,双下肢无浮肿。 辅查: 1.HGB85g/L、尿蛋白2+、尿潜血3+,血白蛋白22.9g/L、补体C3 0.09g/L、补体C4 0.02g/L,血肌酐151umol/l,Coombs试验阳性,ANA滴度1:3200,dsDNA阳性” 2.骨髓涂片提示:骨髓增生活跃,粒、红系比例正常,铁染色示缺铁,建议做铁蛋白检查。 3.胸片提示双下肺炎症。



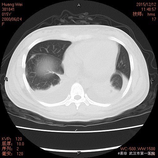
诊断:1、I型呼吸衰竭;2、急性左心衰;3、咯血查因:狼疮性肺炎可能;4、肺部感染;5、系统性红斑狼疮,狼疮性肾炎,急性肾损伤,狼疮血液系统损害,狼疮心脏损害 左房左室增大 二尖瓣关闭不全(轻度) 三尖瓣关闭不全(轻度)心包积液 心功能Ⅲ级 治疗:入院后予以甲强龙、丙球抑制免疫反应,持续血透、抗感染、降压、面罩吸氧等治疗。但患者仍出现进行性血压升高、呼吸循环功能衰竭。后家属强烈要求出院并回当地治疗。
出院后一周,患者死亡。狼疮性器官损害是SLE的严重表现,是全身免功能紊乱的体现,容易出现循环衰竭,除了以上常规措施,尚可考虑血浆置换以清除自身免疫性抗体,但费用可想而知。