下载或打开 医联APP 查看完整评论
立即下载
打开APP
老年女性患者,主因“宫颈癌子宫全切术后2年,尿漏伴尿痛半年余”入院,曾因宫颈癌行子宫全切术加术后规律放化疗,病理提示鳞癌。2014年4月时,因出现漏尿,血尿里急后重感,行相关检查提示放射性直肠炎,放射性膀胱炎,怀疑膀胱阴道瘘。至今反复出现尿痛,持续漏尿,后经抗炎治疗后尿痛少好转。
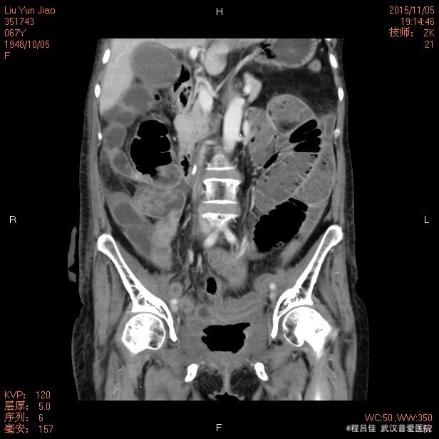
查体:腹部平坦,无胃肠型,无压痛及反跳痛,肠鸣音正常,阴道仍有粪渣样物质排出。 辅查: 膀胱镜检查:膀胱阴道瘘诊断明确 腹部CT:1.“宫颈癌行子宫全切术后+化疗后+回肠代膀胱造瘘术后+右肾造瘘术后"改变:回肠代膀胱;膀胱积气及膀胱壁增厚,膀胱后壁欠连续,并见后凸小囊腔,由于其后方阴道及直肠显示欠清楚,考虑膀胱阴道瘘可能性大,未能确定是否与直肠相通,请结合临床。 2、盆腔前腹壁下包裹性积液积气形成;腹壁切口区改变,盆腔术区肠管聚拢、结构紊乱,考虑粘连伴小肠低位不完全性机械性肠梗阻。 3.胆囊多发结石,肝S6囊肿,右肝内胆管轻度扩张。
诊断:1.小肠阴道瘘,2.小肠不完全性肠梗阻,3.放射性膀胱炎,4.放射性直肠炎,5.尿路感染,6.宫颈癌子宫切除术后,7.双下肢静脉血栓 治疗:在全麻下行回肠代膀胱术,术后12天患者排便时阴道内有大便流出,肠道造影未见明显瘘口,多次请胃肠外科、妇产科、消化内科等相关科室会诊,考虑盆腔段小肠因放射性肠炎术后出现肠瘘,入院经完善相关检查,予以抗感染、补液、加强营养支持、克赛抗凝等对症治疗。
由于小肠的下垂,盆腔肿瘤体外放疗也存在一定风险,一旦发生放射性肠炎,有瘘的风险。一般来说,术中放疗尚可选择,此例患者宜加强引流、抑酶、肠外营养等,肠瘘有望自愈,但费用可能较高。


