主诉:反复乏力、腹胀10年,加重1周 病史:现病史:患者于10年前因乏力腹胀来我院,诊断为"乙肝肝硬化",其后上述症状间断反复出现。数次合并上消化道出血,6年前接受脾切除断流术治疗,并开始口服"拉米夫定和阿德福伟"抗病毒治疗,此后HBV-DNA转阴。其后患者有数次合并肝性脑病,均于我院治疗后好转。6个月前CT发现肝内强化结节影,诊断"原发性肝癌",接受TACE治疗一次。近一周自觉乏力加重,为系统而来我院,门诊以"乙肝肝硬化"为诊断收入院。此次病来,患者无发热,无头痛,无鼻衄及牙龈出血,无恶心及呕吐,无腹痛和肝区痛,轻度腹胀、无腹泻,食欲尚可,日排尿1400毫升,大便正常。近3个月无明显体重下降。
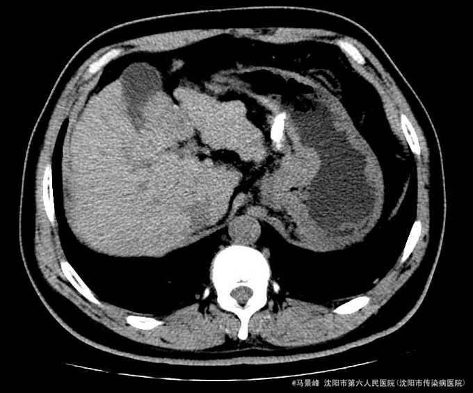
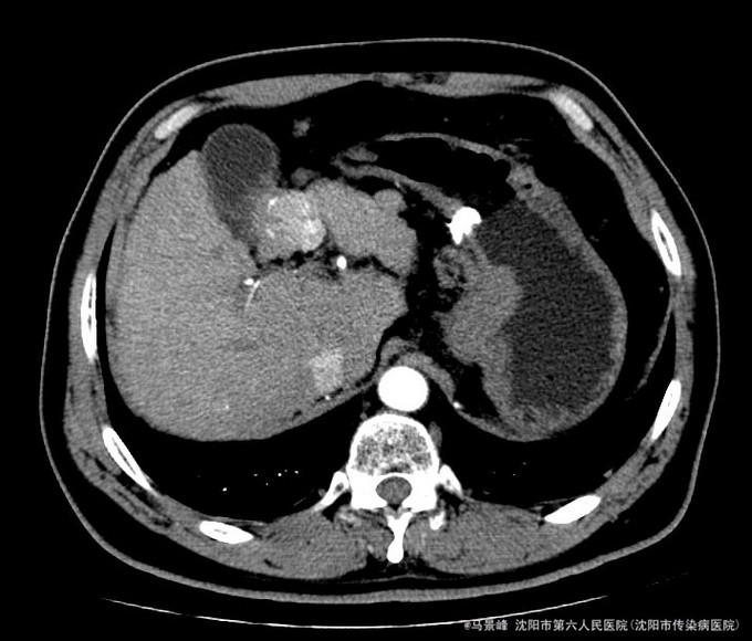
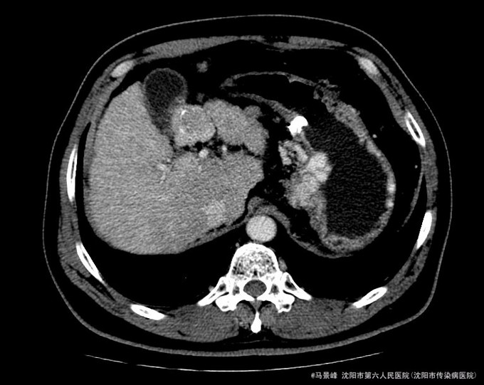
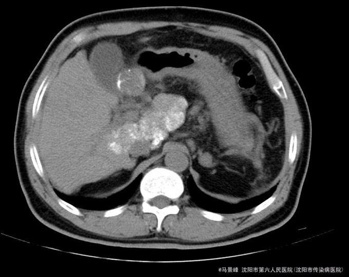
查体:巩膜无黄染,心肺听诊无异常,腹软,无压痛,肝脾肋下未触及,移动性浊音阴性,双下肢无浮肿。 入院后化验结果:丙氨酸氨基转移酶 24 U/L、天门冬氨酸氨基转移酶 36 U/L、碱性磷酸酶 101 U/L、γ-谷氨酰转肽酶 96 U/L、胆碱酯酶 6127 U/L、总蛋白 80.8 g/L、白蛋白 41.4 g/L、总胆红素 30.0 umol/L、结合胆红素 0.0 umol/L、非结合胆红素 16.5 umol/L、δ胆红素 13.5 umol/L。葡萄糖 7.77 mmol/L。乙型肝炎病毒表面抗原 阳性(+) 、乙型肝炎病毒核心抗体 阳性(+) 。甲胎蛋白 3.49 ng/mL。 CT检查示:肝脏形态不规整,肝裂增宽,肝尾叶体积相对增大,各叶大小比例失调,肝实质密度不均,肝内可见多个大小不等结节影,较大者位于肝Ⅳ段胆囊旁,其边缘可见条状碘油沉积,大小约3.3x3.05cm,增强扫描动脉期其边缘轻度强化,门脉期及延迟期扫描呈稍低密度,病灶内坏死区未见强化,其余结节无明显强化,较大者位于Ⅷ段,约1.2cm大小,延迟期呈稍低密度,门脉主干及左右支纤细,左支充盈欠佳,脾脏缺如,胆囊不大,壁增厚,其内密度均匀,胰头区可见一囊性密度影,大小约2.11cm,增强扫描无强化。肝内外胆管未见明显扩张,食管下段胃底贲门区见扩张扭曲的血管影,腹膜后未见明显肿大淋巴结。 患者CT所见胆囊旁病灶碘油流失,且动脉期仍有强化,提示肿瘤仍有血供。




诊断:1、乙肝肝硬化 失代偿期;2、原发性肝癌TACE术后 治疗:入院后除加强休息、抗病毒治疗外,行增强CT检查,发现肝癌TACE治疗后胆囊旁病灶碘油流失,且动脉期仍有强化,提示肿瘤仍有血供。遂于局麻下再次行TACE治疗。

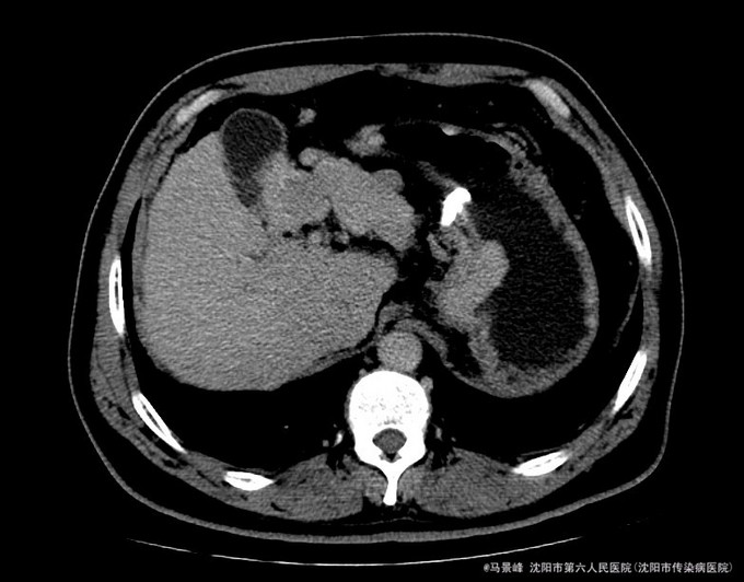
患者术后自觉无明显不适,食欲睡眠可,尿便正常。查体:巩膜无黄染,心肺听诊无异常,腹软,无压痛,肝肋下未触及,移动性浊音阴性,双下肢无浮肿。TACE术后一周,复查CT和肝功ALP和GGT轻度升高,CT示病灶碘油沉积增加,办理出院。出院后继续抗病毒治疗,嘱其2个月后复查。