下载或打开 医联APP 查看完整评论
立即下载
打开APP
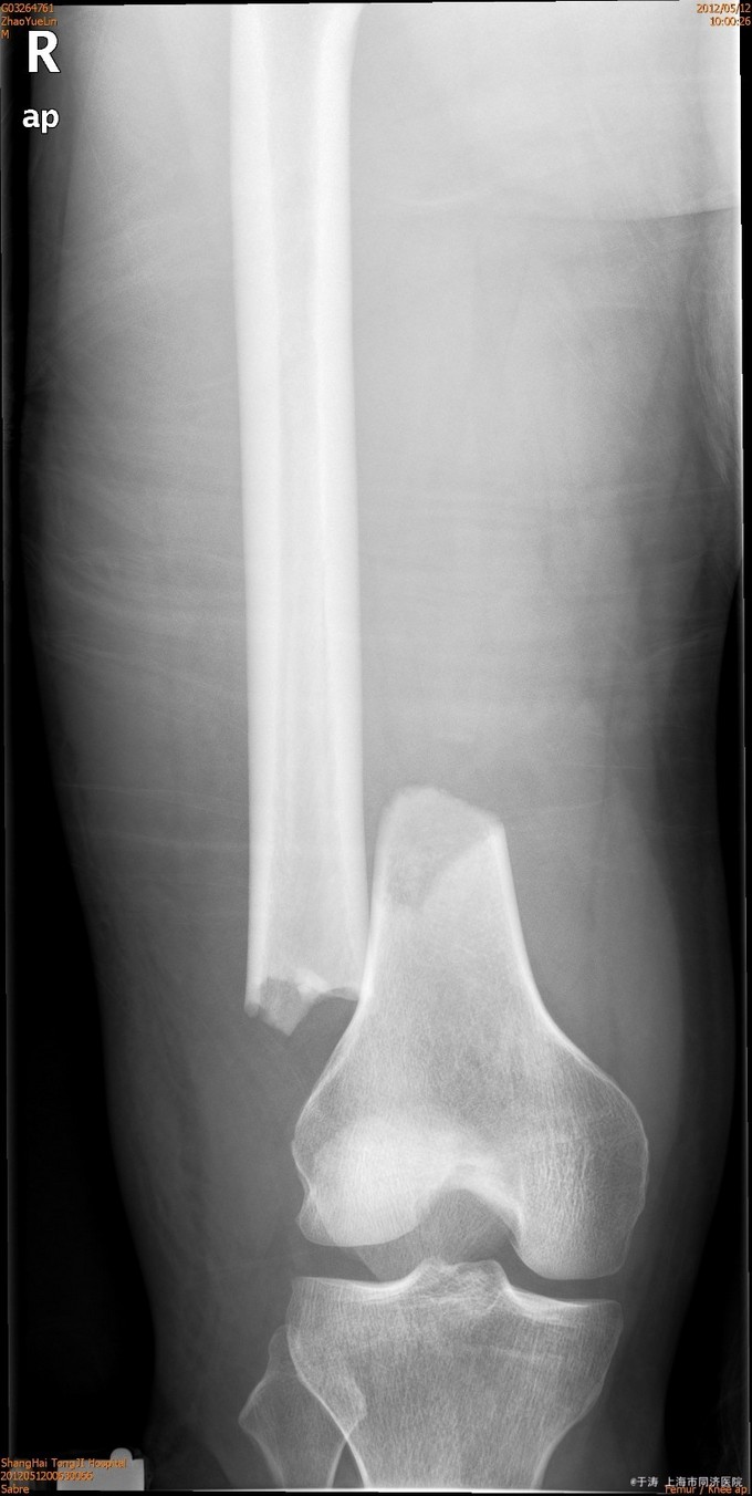
患者男,55岁,因高处坠落后右大腿疼痛伴活动障碍5小时入院。患者入院前5小时不慎从高处坠落,当即出现右大腿下端疼痛,尿道出血,胸痛,无大汗淋漓、头痛、头晕、腹痛、腹胀等。急诊X线示右股骨髁上骨折,CT示头皮血肿,右下肺挫裂伤,气胸。


查体:神清,右大腿下端肿胀、瘀斑,局部压痛,可及骨擦感、骨擦音,右小腿及腘窝可见皮肤擦伤,患肢远端感觉血运可。



诊断为右股骨远端骨折,生命体征平稳后,行切开复位内固定术。


术后1年随访,功能良好,患者拒绝摄片和拔除内固定。对于股骨远端骨折,切开复位钢板内固定疗效可。