打开应用

慢性胰腺炎

鲍医师   金华市中医医院
胰腺炎 慢性胰腺炎

主诉 病史

患者,男,59岁,因“ 反复上腹部疼痛4年 ”入院。患者4年前饭后出现上腹部剧痛,向后背部放射,有恶心呕吐,呕吐物为胃内容物,无腹胀腹泻,无畏寒发热。曾在当地医院治疗(具体用药不详),病情有所好转,1年前复查发现CA199升高,近几天感上腹部隐痛,检查发现CA199持续升高。

查体 辅查

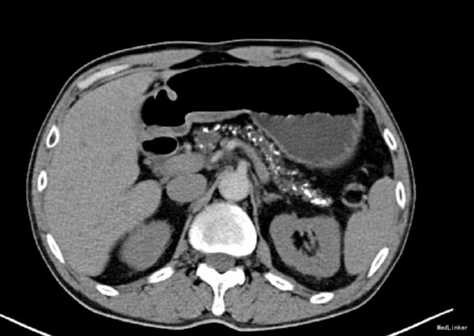
腹平软,上腹部轻度压痛,无反跳痛,肝脾肋下未触及,墨菲氏征阴性,移动性浊音阴性,肠鸣音4次/分。辅助检查:(2014-12-10 )行US检查提示:肝VIII段血管瘤。慢性胰腺炎考虑。胆囊、脾脏未见明显异常。(2014-08-11)CT检查提示:慢性胰腺炎,肝VIII段条状密度异常,考虑血管畸形。(2014-12-25)MRI检查提示:MRCP示胰管扩张,肝内外胆管轻度扩张。胆囊增大。(2015-04-07)CA199 56.8U/mL。↑

诊断 处理

初步诊断: 慢性胰腺炎。排除相关手术禁忌症后,在全麻下行“[腹腔]胰十二指肠切除+胆道镜胰管探查术”。

随访 讨论

术后予先锋美它醇2.0g静滴bid抗感染,余吸氧、心电监护、护胃、静脉营养、补液等对症支持治疗。

发布于 15-12-29 22:37

0 个评论

暂无评论
发送