下载或打开 医联APP 查看完整评论
立即下载
打开APP
男,74岁 主诉:反复右上腹疼痛10年,再发并加重一天, 现病史:10年前开始反复右上腹疼痛,持续性绞痛,向同侧肩背部放散,曾经在当地医院以“胆囊结石”治疗,效果不佳,10年来反复发作,10小时前再次发作并疼痛难忍,来诊,无发热,无恶心、呕吐,尿色深,大便正常。
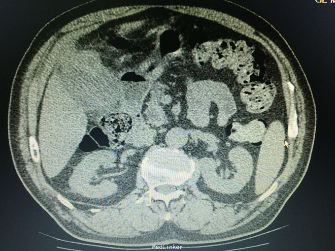
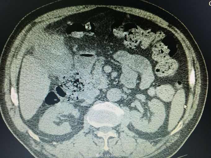
痛苦表情,皮肤及巩膜轻度黄染,腹部平坦,右上腹压痛,无肌紧张及反跳痛,未及包块,莫氏症阳性,肝区扣痛明显。 辅助检查:CT:胆囊轮廓欠清晰,密度不均,底部局限性增厚并向内突起,胆囊内见高密度影,胆总管扩张。





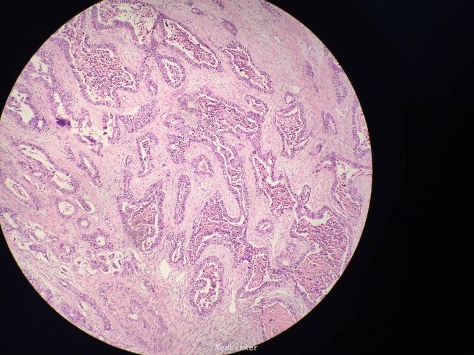
诊断:胆囊占位,胆囊结石,胆囊炎 处理:手术治疗,术中见大网膜与腹膜广泛粘连,胆囊质硬,与肝脏、12指肠及横结肠广泛粘连,与胃小弯及幽门部侵润致密。行胆囊癌根治术,胃破裂修补术,胆总管切开T形管引流,腹腔冲洗引流术。病理证实为胆囊中分化腺癌侵及浆膜层。(胆囊及胆总管内未见结石)


术后一个月,现在仍然T管引流中,一般状态较差。 讨论:胆囊癌较少见,恶性程度高,预后较差,经常合并或与胆囊炎、胆囊结石相混淆,临床上应该提高警惕;早期发现和治疗是提高生存时间的关键,对放、化疗比较敏感。