主诉:高处坠落全身多处疼痛20分钟。 病史:患者,男、32岁;入院分钟前,不慎发从约3米高处坠落受伤,受伤后即感头面部、右侧胸部、腹部疼痛及右上肢疼痛,患肢功能活动障碍;无伴昏迷、恶心、呕吐、胸闷、气紧、逆行性遗忘,无二便失禁,伤后由120急诊入院。
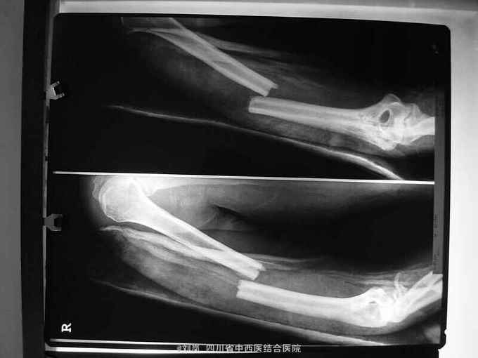
查体:T 37.9℃、P 110次/分、R 22次/分、BP 126/80mmHg;一般情况:神清,烦躁,发育正常,平车推入,查体不合作。头额顶部见横行挫伤,头皮肿胀、压痛明显,未扪及骨擦感,右上下睑肿胀青紫,左面部见擦挫伤,双侧瞳孔等大等圆,直径约3mm,对光反射迟钝,鼻腔无溢液,左耳廓见擦伤,外耳道无异常分泌物,双唇肿胀,无紫绀及苍白,齿齐,扁桃体不大,颈软,气管居中,甲状腺不大;胸廓对称无畸型,右侧胸胁部压痛明显,似可扪及骨擦感,呼吸动度基本一致,双肺叩呈清音,双肺呼吸音粗,双肺未闻及干、湿性罗音;心界叩诊不大,心率110次/分,律齐,各瓣膜听诊区未闻及病理性杂音。腹平,未见肠型及蠕动波,未见浅静脉曲张,肝脾未扪及,腹肌紧张,压痛,反跳痛明显,无移动性浊音,肝肾区无叩痛,肠鸣音3次/分。脊柱下肢无畸型,活动正常,右膝前见一约5cm挫裂伤口,深及髌骨,未扪及骨擦感,右上臂及右前臂夹板外固定中,桡动脉搏动可,末梢循环可,肛门及外生殖器未查,排泄物未见。神经系统检查生理反射存在,病理反射未引出。 患者入院急诊行了剖腹探查术等治疗;2周后外科病情平稳,转骨科治疗。转入查体:头额部无畸形,右眼睑肿胀减轻,仍可见双眼周围青紫瘀斑减轻,两侧瞳孔等大等圆,直径3mm,对光反射灵敏,颈软,无抵抗,布鲁金斯基征(-),双侧胸廓对称,无畸形,双侧呼吸动度一致;腹中度见一大约10cm手术切口瘢痕,已经愈合,切口对合良好,未见异常渗血渗液,右下腹原引流管拔除处创口未愈合,经换药可见创口大约1.5*2.5cm2,创口基底部乳白色分泌物,无血性及脓性分泌物,创口周围轻微肿胀,无皮色改变,无皮温升高,无波动感,压痛(+),无反跳痛,无肌紧张,无移动性浊音;骨盆分离挤压试验(- );右上肢石膏托固定良好,拆开石膏见:右上臂外侧见一大约2*2.5cm的创口,周围无红肿,无皮温皮色改变,创面红润,未见异常渗血渗液,未见骨质外露,右上臂中段及右双前臂中下段畸形,压痛明显,可触及明显骨擦感及异常活动,右上肢纵向叩击痛(++),右上肢及右前臂旋转功能活动障碍,右腕关节及右手拇指不能主动背伸活动,右前臂中下段以下皮肤感觉功能障碍,右手呈轻度屈曲挛缩畸形,无法主动伸直及主动握拳,指端血运正常。 辅助检查: DR示:1.腹腔内游离气体 2.右肱骨中段骨折 3.右尺桡骨中下段粉碎性骨折。 CT示:1.右侧顶叶点状高密度影,脑挫裂伤?右侧额部及左侧额顶部头皮血肿。2.右肺斑片及斑点状阴影,感染灶?3.右侧约第7、8肋骨可疑骨折。4.腹腔内可疑积气:盆腔可疑少量积液:膀胱内片状较高密度影,积血? 彩色多普勒提示:膈下游离气体,少量腹腔积液。
入院诊断: 1、高处坠落伤 2、脑挫裂伤 3、小肠部分坏死 小肠穿孔 肠系膜挫伤 4、右肱骨中段骨折 5、右尺桡骨中下段骨折 6、腹腔积气 7、右第7、8肋可疑骨折 8、轻度贫血 9、全身多发皮肤软组织挫伤 转入诊断: 1、高处坠落伤 2、右肱骨中段骨折 3、右侧尺桡骨中下段粉碎性骨折 4、脑挫裂伤(右,顶叶) 5、右侧桡神经损伤 6、右侧正中神经损伤 7、右侧尺神经损伤 8、右前臂Volkmann缺血性肌痉挛 9、右侧第7肋、左侧第8肋骨骨折 10、小肠部分切除、小肠修补、阑尾切除术后 11、右膝清创缝合术后 12、腹腔积气 13、轻度贫血 14、全身多发皮肤软组织挫裂伤 治疗: 患者急诊入院后,予完善检查,诊断明确,完善急诊手术准备,急诊在全麻下行了“剖腹探查:小肠坏死部分切除、小肠修补+阑尾切除术+腹腔引流术”,术后在ICU继续抗炎、止血、补液脱水监护对症治疗,并请骨科会诊后予右上肢石膏固定。 术后两周外科病情平稳,再次请骨科会诊后转骨科治疗。转入后进一步完善相关检查及术前准备,诊断明确后,在“全麻”下行了"右肱骨中段骨折切开复位内固定、右尺桡骨中下段骨折切开复位内固定术+植骨术、右侧桡神经损伤探查术",术中见桡神经挫伤明显,局部瘀血及增生组织包裹,予松解处理。术后予消肿、止痛、营养神经、预防感染等对症支持治疗,结合针灸、理疗、中药口服及康复治疗。术后伤口愈合及拆线后,予中药熏洗治疗,配合患肢主被动功能康复锻炼,住院2个月,患肢功能活动明显改善,病情好转出院。





随访:出院后定期复诊治疗,继续予药物营养神经、门诊针灸及中药治疗,术后6个月患肢感觉基本恢复正常,功能活动明显改善。 讨论:该患者损伤部位多,创伤重,并发症多,故治疗方案复杂,根据病情需要随时调整治疗重点及治疗方案。神经损伤病情判断及手术探查指征、时间如何把握?