下载或打开 医联APP 查看完整评论
立即下载
打开APP
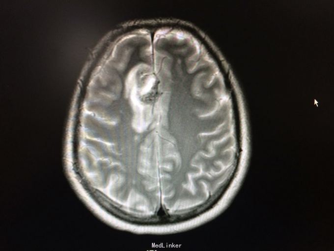
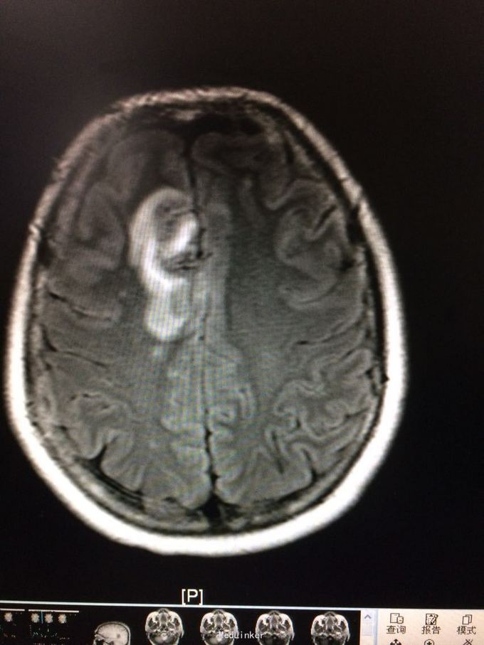
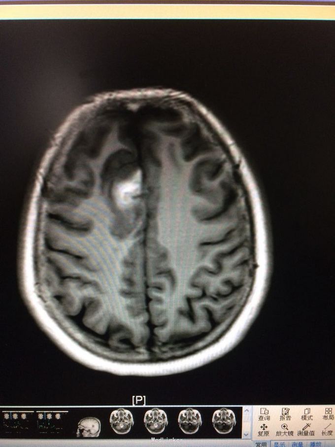
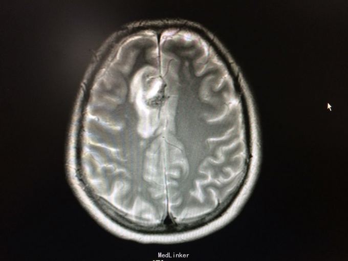
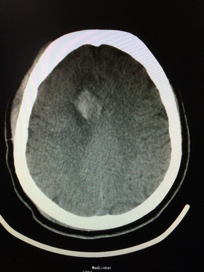
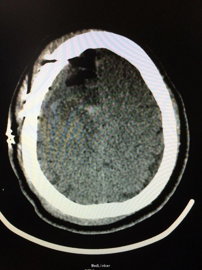
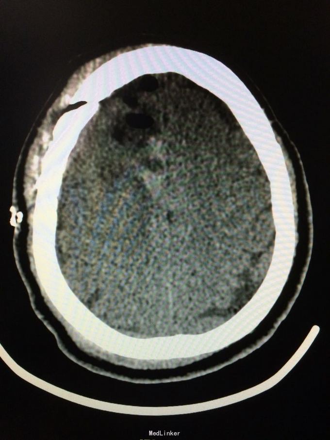
主诉:记忆力减退3月,左侧肢体乏力3天 病史:患者51岁女性,3月前无明显诱因出现记忆力减退,伴头痛,3天前出现站立不稳,左侧肢体乏力,步行困难,当地CT提示右侧额叶低密度灶,

查体:左侧上肢肌力4级,右侧5级,轻瘫试验左侧阳性 辅助检查:右侧额叶、胼胝体膝部病变伴出血,增强扫描明显强化。考虑胶质瘤







诊断:右侧额叶多发脑软化灶 处理:全麻下行右侧额叶占位病变切除术,术后病理提示:符合脑软化,未见明显肿瘤因素等



随访:诉轻度头晕,症状缓解出院。 讨论:脑软化多为脑血管病变引起,因脑组织需氧极高,一旦动脉受阻必然导致供应区域的软化,脑软化亦即其他器官的梗死。大者为软化,小者为腔隙,多数腔隙称腔隙状态。引起软化及腔隙状态的原因有栓塞,动脉血栓形成,动脉痉挛,循环功能不全等病因。软化可分为贫血性及出血性两种,动脉阻塞可造成贫血性软化,亦可以为出血性软化,而静脉阻塞则几乎完全为出血性软化。贫血性软化的病变过程大体上可分为三期:坏死期、软化期、修复期。软化区内的细胞已坏死,缺血性半暗带(半月区)的细胞调亡或凋亡前状态,功能低下,可出现神经系统和运动系统功能障碍。



