下载或打开 医联APP 查看完整评论
立即下载
打开APP
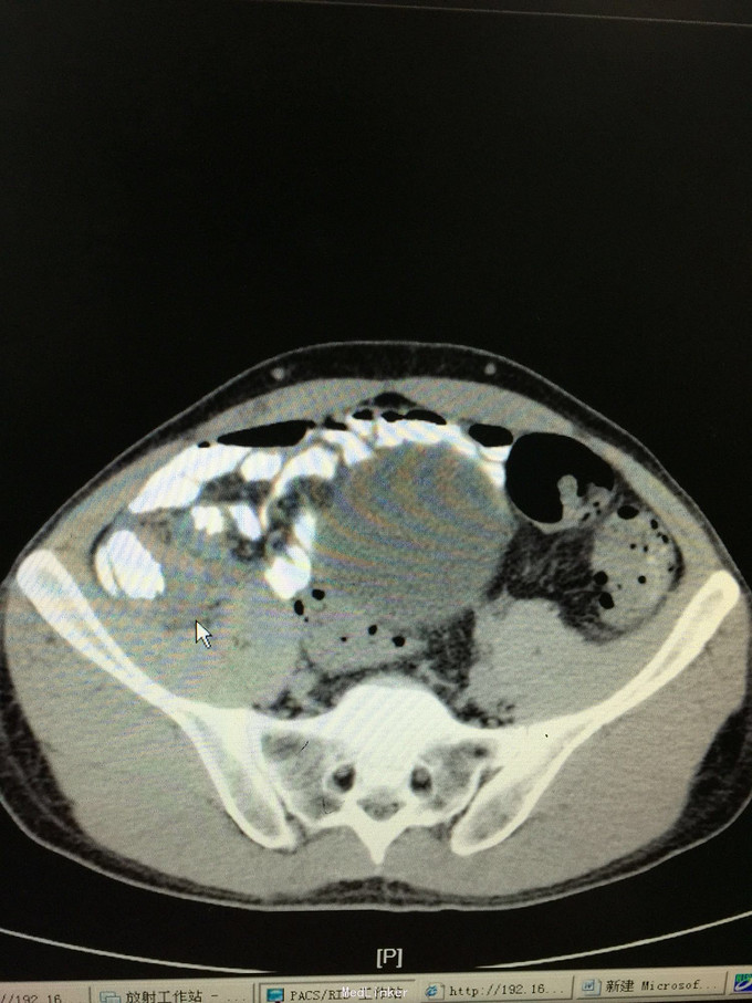
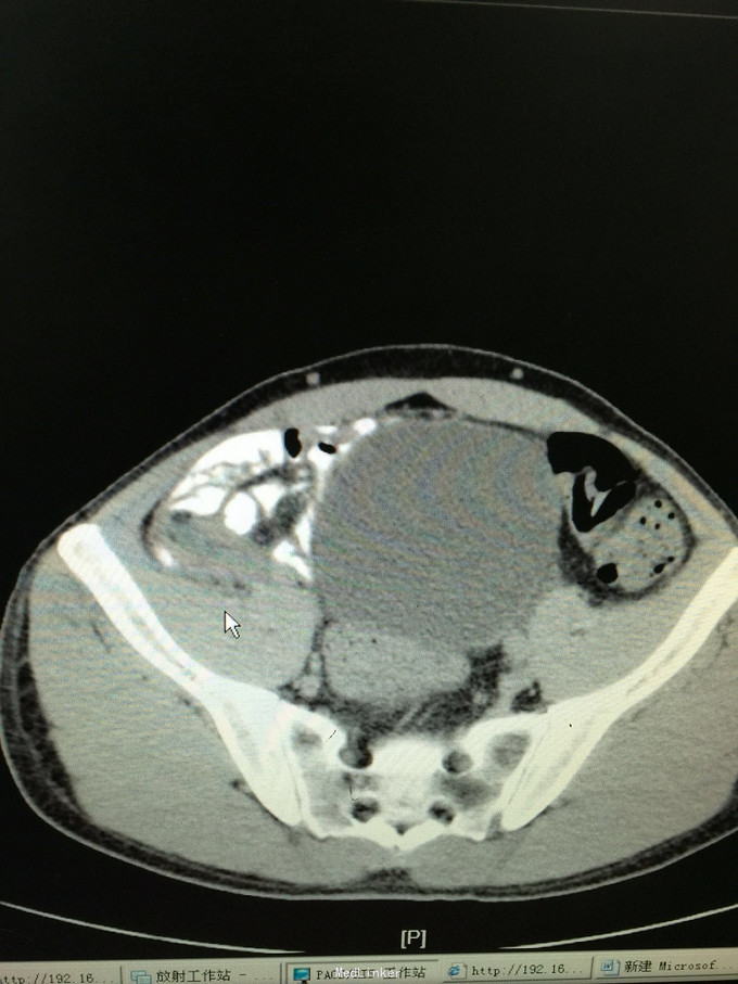
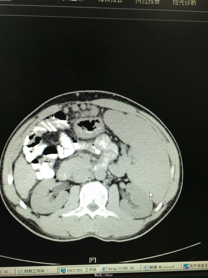
42岁男患,转移性右下腹痛5天为主诉入院。 患者5天前无明显诱因出现中上腹部疼痛,继而转移为右下腹部疼痛,呈持续性绞痛,发热最高体温38.4摄氏度,无恶心呕吐,无寒战,排气排便正常,自行给予口服抗炎药物治疗后发热缓解,腹部疼痛症状缓解不明显,并有加重趋势来诊。门诊查彩超示阑尾炎伴周围脓肿,并收入院治疗。既往发现乙型肝炎肝硬化3年。家族遗传性乙肝


查体:各生命体征正常,心肺无异常,腹部查体:腹平坦,未见腹壁静脉曲张,腹软,未见胃肠型及蠕动波,右下腹可触及一质韧包块,大小约5✖️3cm,界限欠清,活动度一般,右下腹压痛阳性,反跳痛弱阳性,无肌紧张,以麦氏点压痛为重。 辅助检查:详见图片




诊断:急性阑尾炎伴阑尾周围脓肿,乙肝肝硬化 处理:患者入院后经查无腹膜炎体征,经上级医师查看后指示患者阑尾炎伴周围脓肿形成,存在手术相对禁忌,无手术绝对指证,建议给予积极抗炎对症治疗,患者肝炎肝硬化,注意各理化指标变化,积极复查。
患者入院一周,腹部症状明显改善,查体腹部包块明显缩小,复查各理化指标恢复正常,患者要求出院,经上级医师批准出院,并建议定期复查,择期行阑尾切除术。针对阑尾炎周围脓肿患者行手术治疗的时间窗个人一直不是很明确,望有经验的各位同仁多多指教。谢谢