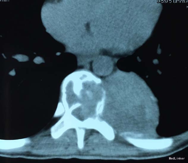
主诉:诉胸闷不适伴胸背痛1月余。 病史:患者1月前无明显诱因出现胸闷不适,伴活动后气促明显,无伴双下肢麻木乏力,无双下肢疼痛不适,无双上肢症状,遂到当地医院就诊,行胸片检查示:胸腔内巨大包块,遂行胸椎MRI检查发现T9-10节段椎体肿瘤并椎旁软组织肿块形成,肿块突入胸腔占位。患者为求进一步治疗,于本月初到我院本部入院治疗,接受1期后路椎弓根钉固定融合手术。今为求进一步治疗。转入我科。拟以“胸椎肿瘤后路固定术后”收入我科。受伤以来患者一般情况可,无恶心、呕吐、无腹胀腹痛,无发热、寒战。精神一般,饮食、二便、睡眠正常,体重无明显改变。 既往史:否认“冠心病、高血压”等慢性病史,否认“肝炎、结核”等传染病史,否认药物过敏,未发现食物过敏史,1周前于我院本部接受胸椎后路固定手术。否认外伤及输血史。预防接种史不详。
查体:脊柱外观无明显畸形,颈椎活动度正常,胸背部可见纵向长约15cm切口,皮肤钉缝合,伤口愈合可,无红肿渗液。胸椎9-10体左侧棘突旁局部压痛(+)、叩击痛(-),压头试验阴性,双侧侧臂丛牵拉实验(-),双上肢肌张力、运动、感觉及反射无明显异常、躯体感觉无明显减退,双下肢髂腰肌、股四头肌、胫前肌肌力IV级,感觉正常,双下肢直腿抬高试验(-),双侧腱反射对称略活跃,双侧Hoffman征(-),双侧Babinski征(-),双侧髌阵挛(-),踝阵挛(-)。 辅助检查:2015-11外院胸椎MRI检查发现T9-10节段椎体肿瘤并椎旁软组织肿块形成,肿块突入胸腔占位









诊断:胸椎椎体肿瘤(T9-10) 治疗:先于外院行1期后路椎弓根钉固定融合手术,然后转入我院行介入下术前椎体节段血管栓塞手术,第二天行经左侧胸腔入路椎体肿瘤病灶刮除并钛网植骨植入重建手术。术后恢复满意。复查MRI显示肿瘤病灶基本完全切除。



