下载或打开 医联APP 查看完整评论
立即下载
打开APP
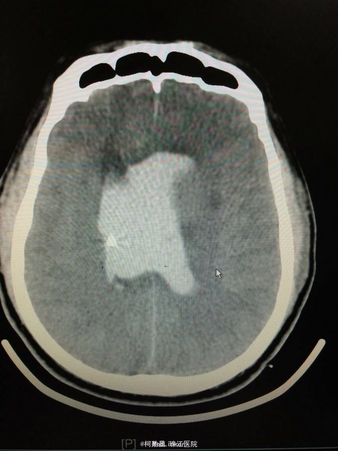
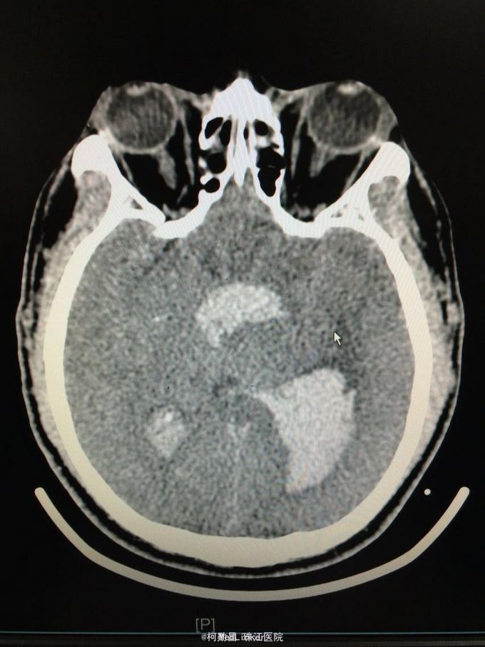
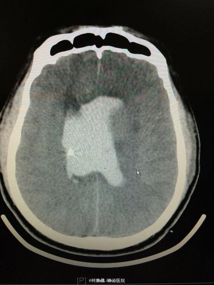
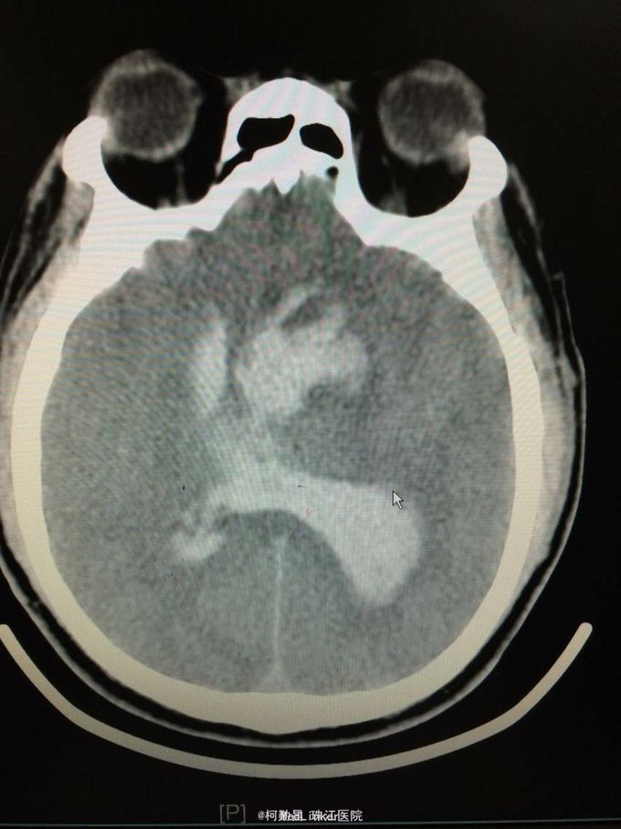
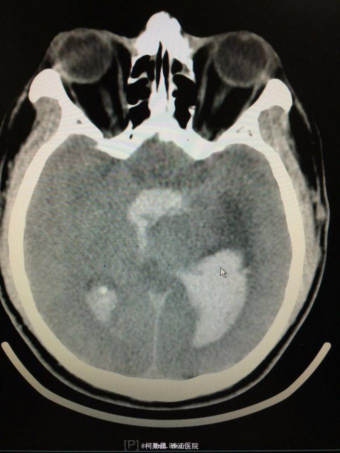
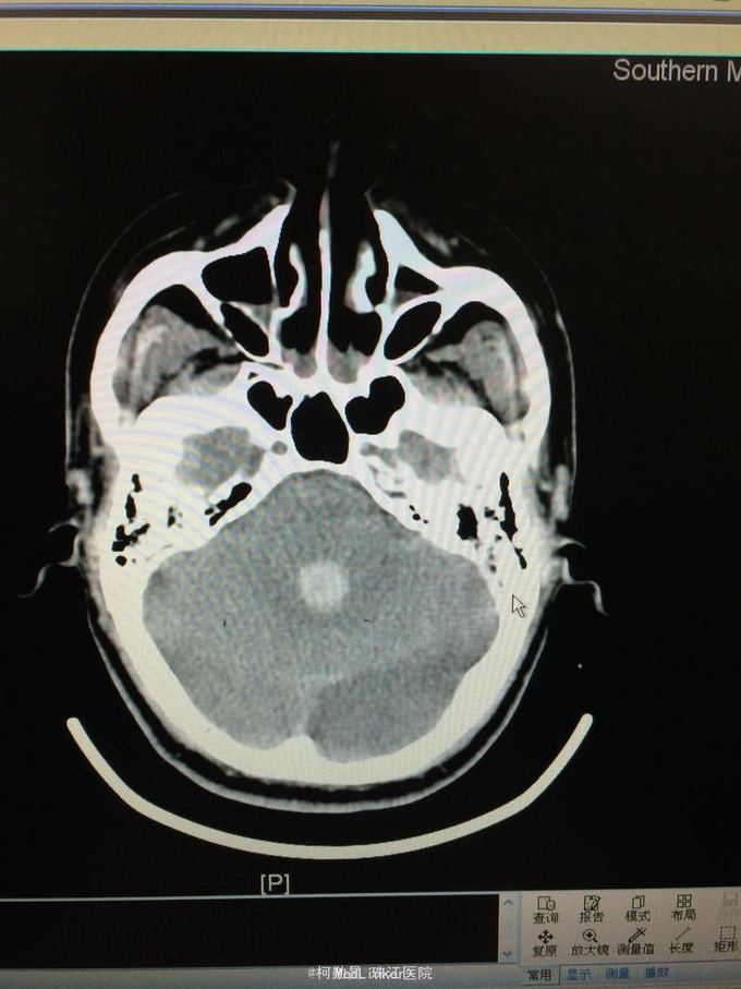
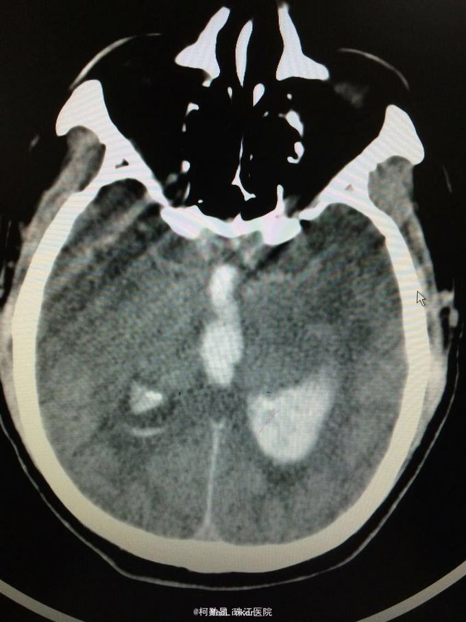
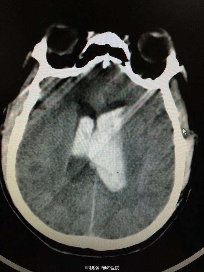
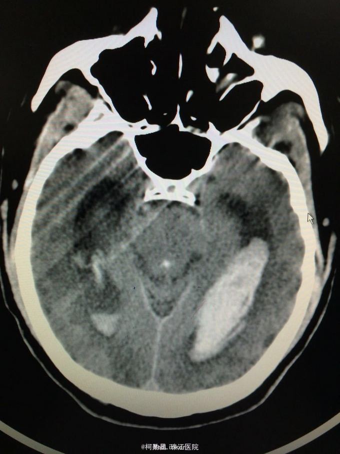
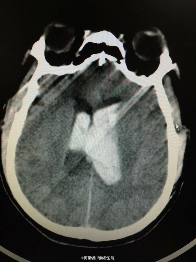
主诉:突发意识障碍4小时 病史:患者57岁男性,入院前一天晚上突发意识不清,伴呕吐胃内容物多次,无肢体抽搐等,随即由家人呼叫120送至我院,急诊行头颅CT提示左侧基底节区出血破入脑室。既往高血压病史10多年

查体:神志不清,双侧瞳孔散大,对光反射消失,四肢肌张力正常,肌力无法检查 辅助检查:头颅CT提示左侧基底节区出血破入脑室







诊断:左侧基底节区出血并破入脑室 处理:急诊行侧脑室钻孔外引流术,术后并予积极抢救,最终抢救无效死亡


随访:患者最终死亡。 讨论:该患者属于典型的高血压性脑出血,且出血量多,预后不良。壳核和丘脑是高血压性脑出血的两个最常见部位。典型可见三偏体征(病灶对侧偏瘫、偏身感觉缺失和偏盲等),大量出血可出现意识障碍,也可穿破脑组织进入脑室,出现血性CSF,直接穿破皮质者不常见。