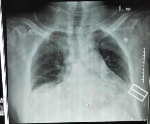
患者,女性,60岁。因“咳嗽、咳痰1周,伴发热、右后下背疼痛1天”入院。 患者1周前起因受寒后出现发热,最高体温38.3℃,伴咳嗽、咳痰,痰少,不易咳出,咳白色黏痰,伴有头痛、全身乏力,无畏寒、寒颤,无肌肉酸痛,无鼻塞、流涕、咽痛,无胸痛、胸闷、气促,无腹痛、腹泻、呕吐,无尿频、尿急、尿痛,于当地社区医院就诊,当时予消炎(头孢类)处理后头痛症状有所好转。后于当地中医院就诊,予服用中药治疗后,患者相关症状无改善。一天前晚上患者无明显诱因出现反复发热,最高体温为37.5℃,有右后下背疼痛,以深呼吸时明显,伴有气促、大汗淋漓、畏寒、寒战,有腹胀感。遂今日于我院急诊就诊,查血常规示:白细胞计数 14.21 (10E9/L),中性粒细胞比例0.871,淋巴细胞比例 0.049 ,单核细胞比例0.077 ;胸片示:“双下肺炎症、双侧胸腔少量积液”,予静脉注射“ 拉氧头孢针 ”治疗后未见好转,仍反复发热,右后下背疼痛明显,伴气促、大汗淋漓,遂收入我科进一步诊治。 既往史:否认肝炎、结核等传染病史,否认高血压史、冠心病史、糖尿病等慢性病史,2015-04有小腿部丹毒病史,2015-05因“肾积水”于外院就诊,发现右侧输尿管狭窄,并行支架置入术,住院期间并发右侧胸前区“带状疱疹”。否认外伤史、输血史,否认过敏史,预防接种史不详。


入院查体:体温:36.3℃(X),呼吸:25次/分,脉搏:105次/分,血压:160/80mmHg。神志清楚,平车入室,查体合作。全身皮肤未见皮疹,未见皮下出血点,浅表淋巴结未扪及肿大,咽充血++,扁桃体Ⅰ度肿大,可见滤泡,未见脓点,颈软,气管居中。胸廓无畸形,呼吸稍促,双肺呼吸音粗,右下肺叩诊稍浊,语音震颤增强,双下侧肺野可闻及少许湿啰音,未闻及干啰音,未闻及胸膜摩擦音。心界不大,心率105次/分,律齐,未及杂音,腹膨隆,无压痛、反跳痛,肝脾肋下未触及,肠鸣音减弱,双下肢无水肿。病理征未引出。 门诊辅助检查: 2015-12-13我院急诊查血常规示白细胞计数 14.21 (10E9/L),中性粒细胞比例0.871,淋巴细胞比例 0.049 ,单核细胞比例0.077 ;胸片示:“双下肺炎症、双侧胸腔少量积液;主动脉粥样硬化”,凝血四项PT16.7,急诊血糖:10.75mmol/l,电解质:Na131mmol/l,CL87mmol/l,肝功:Bc8.2umol/l,肾功、心肌酶、三项未见明显异常。


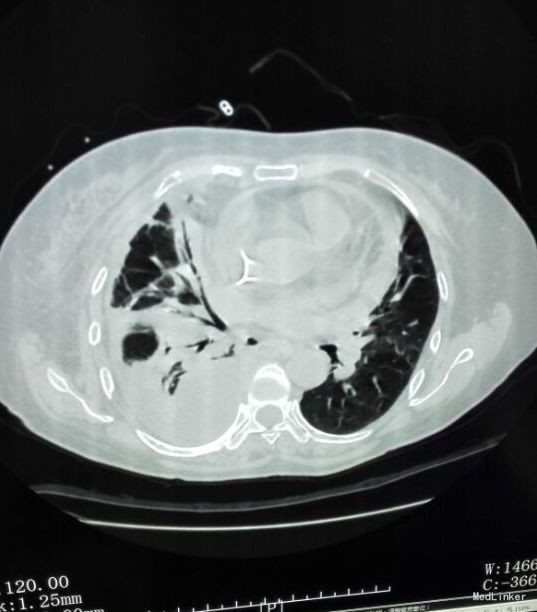
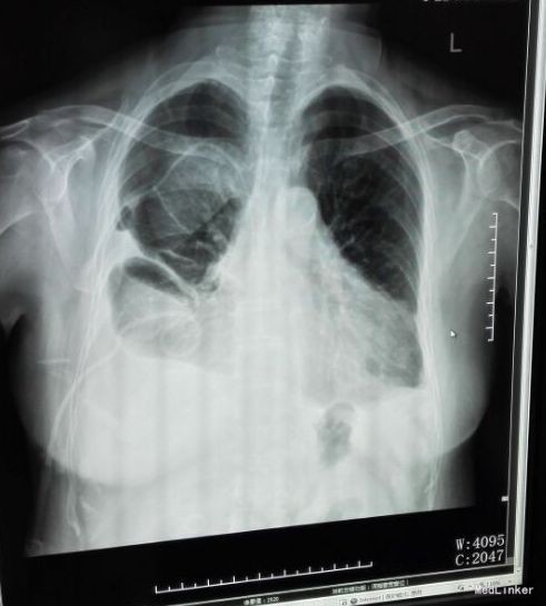
患者入院后予“美洛西林舒巴坦”抗感染,当天晚上出现明显气促,伴右后下背痛,无明显发热,当时复查胸片示: 1、双下肺炎症、双侧胸腔积液,同2015.12.13前片比较,考虑右侧胸腔积液明显增多,部分包裹,建议CT进一步检查。血气分析未见明显异常,2015-12-14 复查急诊血常规:白细胞计数 24.290(10E9/L)↑,淋巴细胞计数 0.750(10E9/L)↓,中性粒细胞比例 0.930↑,血红蛋白浓度 104.000(g/L)↓,中性粒细胞计数 22.590(10E9/L)↑,红细胞计数 3.500(10E12/L)↓,血小板计数 466.000(10E9/L)↑,单核细胞计数 0.920(10E9/L)↑;急诊肾功(三项):尿素氮 8.450(mmol/L)↑;急诊电解质(K/Na/Cl):钠 128.700(mmol/L)↓,氯 87.100(mmol/L)↓; 2015-12-14胸部及上腹部CT平扫+增强示:1、两中下肺多发炎症,部分萎陷。建议治疗后复查。2、双侧胸腔积液(右著);心包少量积液。3、结合病史,右输尿管术改变;右侧双J管置入术后。右肾、输尿管上段扩张、积水,右肾周感染并少许积气;左肾结石。4、脂肪肝。5、胆、脾、胰未见异常。因CT提示肺部大片实变,包裹性积液(量少),考虑重症肺炎可能,于2015-12-14将抗生素升级为“亚胺培南西司他丁 1.0 q8h、万古霉素 50万U q12h、伏立康唑 0.2 q12h”三联,同时予“甲强龙”抗炎等治疗。经治疗,患者气促症状逐渐缓解,咳嗽、咳痰、右后背疼痛好转,无发热,精神、胃纳较前改善。因B超定位下胸水量少,暂未予胸穿。2015-12-17复查胸部+上腹部CT平扫示:1、双中下肺炎炎症较前吸收好转,右侧胸腔积液较前略有减少,左侧胸腔积液现已基本吸收。2、胸、腹主动脉粥样硬化;心包少量积液(大致同前)。纵膈内临界肿大淋巴结。3、右输尿管术改变;右肾、输尿管上段扩张、积水,右肾周慢性感染(原右肾周积气消失);左肾结石。4、轻度脂肪肝。少量腹水。5、胆囊内斑片状高密度影,考虑胆汁淤积。2015-12-19 复查血常规:白细胞计数 18.160(10E9/L)↑,中性粒细胞比例 0.918↑,血红蛋白浓度 105.000(g/L)↓,中性粒细胞计数 16.670(10E9/L)↑,红细胞计数 3.560(10E12/L)↓,血小板计数 396.000(10E9/L)↑,淋巴细胞比例 0.037↓,红细胞压积 0.305↓,单核细胞计数 0.780(10E9/L)↑;降钙素原 2.000(ng/ml)↑;急诊肾功(三项):肌酐 146.000(umol/L)↑,尿素氮 19.580(mmol/L)↑。2015-12-20患者精神较前明显变差,伴纳差、乏力,气促较前加重,2015-12-20再次复查血常规:白细胞计数 33.230(10E9/L)↑,中性粒细胞比例 0.967↑,红细胞计数 3.350(10E12/L)↓,中性粒细胞计数 32.130(10E9/L)↑,血红蛋白浓度 99.000(g/L)↓,单核细胞比例 0.016↓,淋巴细胞比例 0.016↓,红细胞压积 0.293↓;2015-12-20 急诊肾功(三项):肌酐 125.000(umol/L)↑,尿素氮 15.960(mmol/L)↑;降钙素原 0.836(ng/ml)↑;复查胸片示:1、同2015.12.17胸部CT比较,考虑右侧胸腔积液较前有所增多,大部分为包裹性积液,新发左侧胸腔少量积液;右肺情况显示不清,左下肺炎症。2、心影增大,结合CT考虑心包积液;主动脉粥样硬化。遂行胸腔穿刺术,抽出400ml黄白色脓性胸水,胸水常规:PH6.0,WBC54600*10E6/l,中性粒0.97,胸水生化:乳酸脱氢酶 2221.000(U/L);葡萄糖 1.180(mmol/l),总蛋白 24.000(g/l),腺苷脱氨酶 154.000(U/L),氯 106.800(mmol/L)。符合脓胸改变,予右侧胸负压腔闭式引流,同时予“庆大霉素16万u”冲洗,将抗生素降级为莫西沙星片口服,患者症状明显好转,12.24复查胸片及CT胸腔积液及肺炎均较前明显好转。



肺炎旁胸腔积液是继发于肺炎(细菌或病毒)或肺脓肿的胸腔积液,脓胸就是胸腔出现脓液,脓液为厚、黏,稠的液体。发展通常可分为以下几个阶段:干性胸膜炎阶段、渗出阶段、纤维脓性阶段、机化阶段,当肺炎伴同侧胸腔积液时,常规的胸部X线检查就能够发现。胸部侧位片对于后肋隔角积液的发现意义尤为大。双侧卧位胸片可以鉴别是自由流动的胸腔积液还是肺部浓密的炎症阴影。脓胸最典型的影像学征象是包裹性的积液。CT征象包括:胸膜增厚,回声增强,以及邻近肋下组织密度增高。肺炎旁胸腔积液通常是渗出液,细胞学检查以中性粒细胞为主。肺炎旁胸腔积液和脓胸的各种治疗中最主要是系统的抗生素治疗,另外应行胸管引流。该病例肺炎病人经抗炎治疗后,肺部炎症好转,但症状反复、感染指标再次升高,且影像学提示胸水增多,故应考虑合并脓胸可能,需调整抗生素及及时的引流治疗。