下载或打开 医联APP 查看完整评论
立即下载
打开APP
患者女性,35岁,G2P1,顺产,平素有痛经,因“巧囊术后4+年,检查发现复发2年”入院。化妆呢4+年前曾因右侧巧克力囊肿破裂行“腹式右侧轮巧克力囊肿剔除术”,术后与诺雷德肌肉注射半年及口服优思明治疗半年后停药。2年前复诊,查彩超:右侧附件区囊性包块,6*3*5cm,后定期复查彩超,囊肿渐增大。
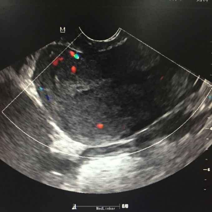
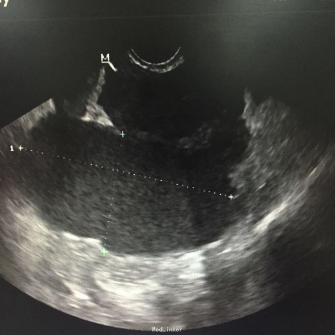
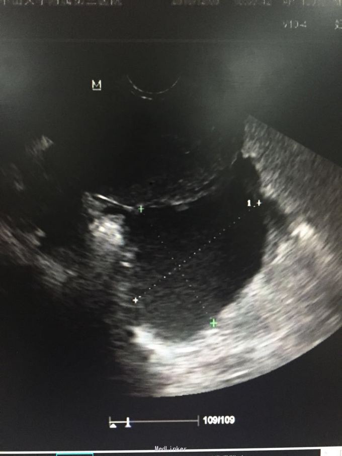
查体:右侧附件区可及一10*5cm包块,囊性,无压痛、反跳痛,左侧附件区可扪及5*5cm包块,囊性,轻压痛,无反跳痛。辅助检查:彩超:筛查附件区囊性包块,考虑内膜异位囊肿可能性大,左侧一个,大小58*49mm,右侧多个融合,范围91*48mm。



诊断:双侧卵巢巧克力囊肿。入院行剖腹探查术,术中见,大网膜、肠管、膀胱反折除及子宫前后壁可见附着褐色陈旧粘稠血块,大网膜与子宫底部及右侧前壁粘连,左侧卵巢增大约6*5*5cm,右侧卵巢增大约10*6*6cm,予以行腹式双侧卵巢囊肿剔除术+盆腔粘连松解术。术后病理:双侧卵巢巧克力囊肿。
追问患者病史,第一次巧囊术后曾有突发下腹痛病史,考虑盆腔内陈旧性血块为既往巧囊再次破裂遗留。分析本病例主要与大家讨论,对于无生育要求的患者,发生巧囊术后复发,不论是再次手术还是B超引导下穿刺引流,处理后应该如何高效管理子宫内膜异位症?