下载或打开 医联APP 查看完整评论
立即下载
打开APP
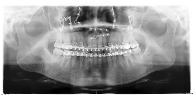
上颌骨骨折术后1年,患者于1年前因车祸骨折于我院行双侧上颌骨、颧骨骨折复位内固定术+上下颌牙弓夹板结扎术+气管切开术。现患者张口度正常,咬合可,今按期返院拆除钛板,门诊以"上颌骨骨折术后钛板存留"收入院
头颅无畸形。张口度3.5cm,开口型↓,关节区无疼痛、弹响。口内检查:中线口腔卫生良好,上颌牙齿无松动,下颌31、32、41、42冠折后根管治疗术后,无松动,后牙咬合可,36深龋。口内黏膜无异常。
诊断:双侧上颌骨骨折术后钛板存留,全景片示原双侧上颌骨骨质折断区见骨性愈合,金属板存留。无手术绝对禁忌证,于2015年12月17日在手术室全麻下行“上颌钛板、钛钉取出术+邻近瓣转移修复术”。



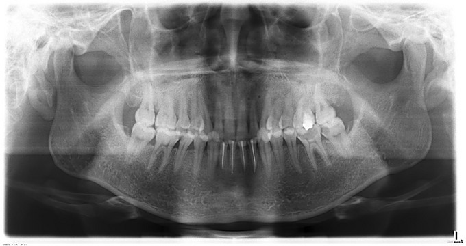
X-ray示:上颌骨钛板全部拆除, 出院带药:甲钴胺片 0.5mg*24# sig:0.5mg po tid 2.保持口腔卫生,饭后漱口; 3.一周后口外门诊复诊拆线; 4.定期复诊,不适随诊。