下载或打开 医联APP 查看完整评论
立即下载
打开APP
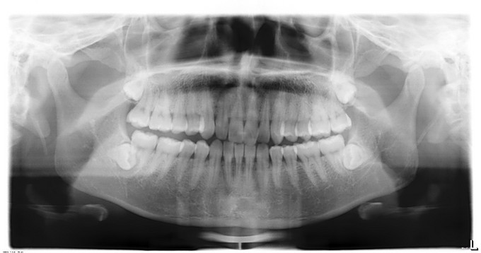
发现上下颌阻生牙1周,者于1周前无明显诱因出现右下后牙疼痛,冠周冲洗后疼痛症状缓解,外院全景片示:18、28、38、48阻生齿。今为进一步治疗来我院就诊,门诊以"18、28、38、48阻生齿"收入院。
口内检查:18、28、38、48未萌出
诊断:18、28、38、48阻生齿,全麻下行“18、28、38、48阻生齿拔除术+牙槽骨修整术+邻近瓣转移修复术”手术。手术经过顺利术后予预防感染、消肿、止血等治疗

不知道大家对于住院拔阻生齿怎么看