患者男,24岁。因头面部、躯干及双上肢紫红色斑、溃疡伴脱发15个月就诊。1年多以来,患者背部出现紫红色斑,皮疹渐扩大成斑块并出现溃疡,后形成萎缩性瘢痕。皮疹逐渐扩展至头面部及双上肢,其中面部以鼻根部、颧部和面颊为主,且头部皮疹引起脱发,否认口腔溃疡及关节痛。
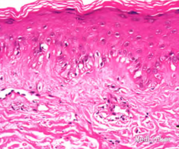
体格检查:系统检查未见明显异常。皮肤科检查:额面部、头皮、躯干及双上肢泛发环状紫红斑和斑块,覆粘着性鳞屑,部分中央结痂、萎缩。实验室检查:血常规中白细胞2.09,红细胞3.15,血红蛋白98 g。尿常规中尿蛋白(+/一)(后多次复查,尿蛋白均为阴性)。(ENA)全套检查示:抗核抗体(ANA)1:320,斑点型,抗心磷脂抗体58.4RU/mL(<12.0 RU/mL),抗ss—A抗体弱阳性,抗组蛋白抗体弱阳性。皮损组织病理检查:表皮萎缩,基底细胞液化变性,可见胶样小体,基膜增厚,真皮浅层有少量游离色素和噬色素细胞,血管周围有稀疏的慢性炎性细胞浸润。




结合临床表现、组织病理及实验室检查诊断:①播散性盘状红斑狼疮(DDLE);②sLE待排除。治疗上予以静脉滴注甲泼尼龙60 mg/d及口服羟氯喹0.2 g,每天2次,皮疹好转明显。糖皮质激素逐渐减量后改为甲泼尼龙口服,逐渐减量为4 mg/d,皮疹未反复,建议定期复查。
DDLE为盘状红斑狼疮的一种少见类型,皮损广泛地发生于头面部、躯干及四肢。有学者认为DDLE患者转变为系统性红斑狼疮的危险性更高,可达22%,而局限型的患者只有1.2%。本例患者临床表现和组织病理均很典型,诊断明确,但皮损如此广泛并伴有脱发,比较罕见。因DDLE易转变为SLE,故应长期随访。本例患者已具备诊断SLE的3条标准,需密切随访将来是否会转变为SLE。因此我们给予了甲泼尼龙和羟氯喹治疗,现患者好转明显,正在随访中。【文章编号】1000—4963(2014)09一0559—02