病史:患者女性,48岁,农民。间断右上腹胀痛、腹胀、纳差、乏力4个月。 患者4个月前无明显诱因出现右上腹胀痛,伴腹胀、乏力、纳差、尿少,无明显厌油、恶心、发热及尿黄。在当地医院接受腹部超声检查的结果提示腹水,妇科超声提示盆腔积液。在当地接受输液保肝、利尿、升血治疗半个月后,患者腹水减少,症状减轻。1周前,患者自觉腹胀加重、尿少,每日尿量约700 ml。为进一步诊治被收入我科。患者自发病以来有轻度口干、眼干、关节痛,无心悸、晕厥,无呕血、黑便。精神欠佳,睡眠可,食欲差,尿色呈茶色,大便正常。体重较前稍有下降(具体不详)。 患者无慢性肝炎病史,无慢性心脏、肾脏病史。无血制品输注史及手术史,无血吸虫病疫水接触史,无饮酒及吸烟史,无长期药物应用史。无家族性遗传病、传染病史。患者6年前曾在化工厂工作半年,期间有密切接触二氧化硫史。
查体及辅查:生化检查:丙氨酸氨基转移酶(ALT)为43 U/L,天冬氨酸氨基转移酶(AST)为44 U/L,总蛋白(TP)为64.0 g/L,白蛋白(ALB)为33.9 g/L,碱性磷酸酶(ALP)为85 U/L,γ-谷氨酰转肽酶(γ-GT)为36 U/L,总胆红素(TBil)为16.2 μmol/L,直接胆红素(DBil)为5.9 μmol/L,尿素氮(BUN)为5.72 mmol/L,肌酐(Cr)为52.6 μmol/L,血糖(GLU)为3.87 mmol/L。 血常规检查:白细胞(WBC)为6.6×109/L、血红蛋白(Hb)为84 g/L,血小板(PLT)为244×109/L; 免疫检查:抗核抗体(ANA)、抗线粒体抗体(AMA)及抗平滑肌抗体(SMA)均阴性。 腹水检查结果:腹水为漏出液。 腹部CT检查:肝硬化、腹水,盆腔磁共振成像(MRI)检查为盆腹腔积液,拟诊“肝硬化,腹水,贫血”。




诊断:1. 肝窦阻塞综合征(HSOS),腹水; 2. 缺铁性贫血。 治疗:患者继续接受保肝、利尿、补铁、对症等治疗,Hb升至正常,腹水减少,但未能消退。 遂加强利尿治疗,将呋塞米改为托拉塞米小壶静滴。但是,患者腹水仍未能消退,肝脏继续增大。 考虑到肝窦阻塞综合征无特效治疗方法,患者预后差,在疾病进展至晚期时,只能进行肝移植。因该患者经济条件有限,不能接受肝移植治疗,住院30天后出院。 出院前的血常规检查结果:WBC为 6.9×10^9/L,Hb为117 g/L,PLT为140×10^9/L, RET为3.54%。 出院前的生化检查结果显示,ALT为17 U/L,AST为40 U/L,TP为58.4 g/L,ALB为33.6 g/L,ALP为86/L,γ-GT为28 U/L,TBil为 27.5 μmol/L,DBil为16.4 μmol/L,Cr为42 μmol/L,GLU为3.59 mmol/L。 超声检查结果显示,肝脏呈弥漫性肿大,腹水。
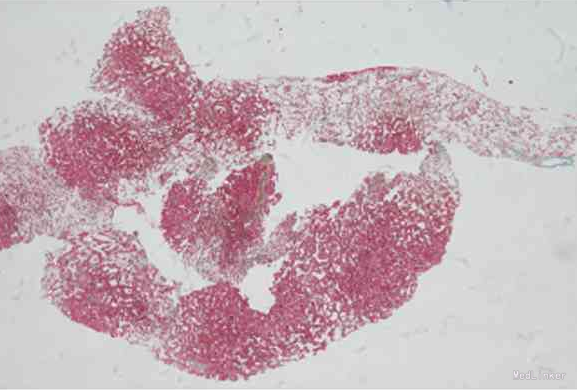
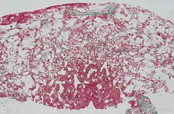
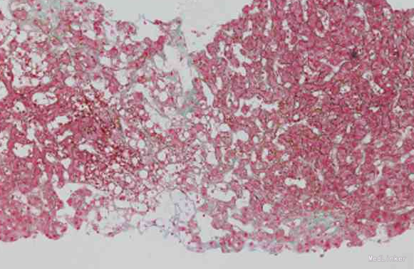
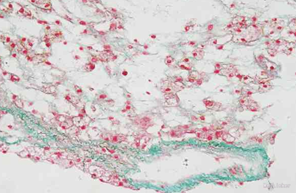
随访:未完成 讨论:该患者的血管彩超检查提示肝静脉纤细,血流减慢,但未见肝静脉或肝段下腔静脉狭窄、血栓,符合肝窦阻塞综合征的表现。 病理学检查提示肝组织淤血,肝窦高度扩张,尤其发现终末肝静脉内膜纤维性增厚、管腔狭窄,符合肝窦阻塞综合征的病理学特有表现。腹部CT检查提示3支肝静脉不显影,符合肝窦阻塞综合征的表现。 因此,结合血管超声检查、肝穿病理学检查及腹部增强CT检查结果,可排除巴德-基亚里综合征,确诊为肝窦阻塞综合征。 但肝窦阻塞综合征的常见病因是摄入吡咯双烷类生物碱(多存在于土三七中)或因器官移植后发生免疫排斥所致,这与该患者不符。 但是,该患者在6年前曾经接触过高浓度的二氧化硫,时间为半年,考虑其肝窦阻塞综合征的病因可能与此相关。因此,该患者的最终诊断为肝窦阻塞综合征。