主诉:男,5月15天,发现心脏增大2周 病史:入院前2周,患儿因“神萎、纳差半月,加重2天”于当地医院行心脏B超示:“左室显著扩大,左室心内膜非均匀增厚,左心功能降低,左室射血分数33%”心电图示:”窦性心动过速,部分ST-T改变“,胸片示:”左肺大片高密度影,肺部感染或胸腔积液“诊断为”心力衰竭,心内膜弹力纤维增生症?婴儿肺炎“予以头孢噻肟、强心、利尿等治疗9天后,患儿精神,食纳好转出院,出院后继续口服地高辛、卡托普利、螺内酯、氢氯噻嗪治疗,现患儿为求进一步诊疗,遂来我院,门诊以”心内膜弹力纤维增生症“收住我科,起病以来患儿汗多,余无异常。
查体:双肺可闻及粗湿鸣及哮鸣,心律齐,心音低钝,未闻及杂音。 辅检:衣原体IgG抗体阳性,支原体抗体阴性


诊断:心内膜弹力纤维增生症,心力衰竭,急性支气管炎 处理:地高辛强心,卡托普利改善心肌重构,新朗欧抗感染,干扰素、可比特、普米克雾化,氢氯噻嗪,螺内酯利尿,金双歧调节肠道功能。
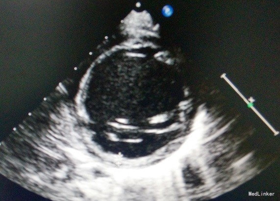
心内膜弹力纤维增生症是指心内膜弥漫性的弹力纤维增生性疾病。可伴有心肌退行性变。心脏的四个心腔都可单独或联合受累,但以左室为多。临床上分暴发型、急性型及慢性型,主要表现为充血性心力衰竭,暴发型可表现为心源性休克。暴发型及急性型多于生后6个月内发病,慢性型多于6到12个月内发病,相当一部分患儿尤其是慢性型的心衰对毛地黄效应好,如及时诊治,可获全愈,否则常危及患儿生命。本病无明显地区性。国内报道男性发病多于女性。本病的特征为:①1岁以内婴儿多数于2~6月时突然出现心力衰竭;②X线胸片心脏扩大以左室为主,心搏减弱;③心脏无明显杂音;④心电图表现为左室肥厚,或V5、6导联T波倒置。⑤超声心动图表现为左室扩大,心内膜回声增粗,收缩功能降低。组织学上确诊须行心内膜心肌活栓。