患者男,47岁,反复口腔溃疡1年余,全身反复水疱9个月余。 患者于1年前发热后口腔出现多处疼痛性溃疡,诊治不详,无好转,2个月后龟头上也出现糜烂和疼痛,曾到某口腔医院诊治,诊断为白塞病,治疗后(具体不详)龟头糜烂好转,但口腔溃疡仍反复。 就诊前9个月,双手掌出现散在的红斑和水疱,伴瘙痒,之后四肢和躯干多处出现红斑和水疱,瘙痒剧烈。患者一直用中药煎剂治疗,病情反复。 就诊前20天皮疹增多,全身出现水疱、糜烂和结痂,口腔溃疡加重,逐渐波及到双唇、鼻黏膜和眼睑缘,溃疡表面结痂,张口受限,遂到我院,查血常规、Trust试验、HIV抗体均正常,予抗过敏药物效果不佳。 发病以来患者体重减轻10kg,无关节疼痛和发热,家族中无类似病史。
体检:体温37蘭80次,呼吸24次,血压120/80mmHg(1mmHg=0.133kPa)0精神疲惫,消瘦。全身浅表淋巴结未及肿大,心肺腹无明显异常。 皮肤科情况:双侧颊黏膜、上颚黏膜、舌边缘见多处溃瘍面;唇黏膜见片状糜烂面、渗出、黄色或黑褐色痂皮和嘴角浸溃发白,张口困难;鼻孔黏膜交界处、眼睑缘和阴茎冠状沟见浆痂和脱痂后的淡红斑;干、四肢见散在红斑和水疱,大疱疱壁紧贴皮肤、部分破裂,基底潮红,类似多形红斑样改变,部分疱液浑浊,见白色药痂黏着或黑色痂皮,尼氏征阴性;10指(趾)甲周见皱缩的水肿性暗红斑。 X线胸片:右上纵隔肿块5cmx6cmx7cm。 胸部CT:右前上纵隔内见一团状软组织肿块影,边界清楚,大小7.2cmx5.9cmx9.6cm,考虑:右前纵隔内肿块,巨淋巴结增生可能,心包少许积液;双肺散在少许炎症,双肺上叶多发性肺大泡。 背部水疱组织病理检査:轻度角化过度,部分基底细胞层上水疱,部分为棘层内水疱,水疱内见棘刺松解细胞,真皮浅层及血管周围散在淋巴细胞和嗜酸性粒细胞浸润;直接免疫荧光:棘细胞间IgG(±)、C3(++),基底膜带IgG(+),IgA和IgM均为阴性。符合天疱疮组织病理改变。







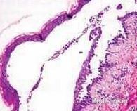
给予丙种球蛋白5g静脉注射每日1次,用5d,泼尼松25mg/d,于同年9月12日在胸外科行右上前纵隔肿物切除术,并清除颈部淋巴结20个。 纵隔肿物病理检查:包膜完整,表面灰红,质地细腻。肿瘤组织中可见结节状成分和弥漫生长成分:结节状成分为生发中心萎缩伴透明变的淋巴滤泡,周边套区小淋巴细胞增生,围绕生发中心呈同心圆样排列,可见毛细血管穿透套区并长人生发中心(图7);弥漫生长区由梭形至卵圆形细胞构成,排列呈束状、席纹状,瘤细胞核卵圆形或长梭形,核仁小,核膜薄,瘤细胞异形性不明显,梭形细胞间见均匀粉染沉积,间质淋巴细胞、浆细胞及组织细胞反应明显,局部见多核巨细胞。 免疫组化结果:CD3、CD5、CD7、CD20、PaX-5、CD21、CD23均阳性,CDl5、CD30、TdT、SMA、CD35均阴性;散在浆细胞CD38、CD138阳性,血管CD34阳性;符合Castleman病(透明血管型)伴滤泡树突细胞增生及间质硬化。 另见淋巴结20个,呈反应性增生改变。最后确诊为Castleman病(透明血管型)、副肿瘤性天疱疮、SLE。 术后继续予泼尼松25mg每日1次,4周后皮肤糜烂面大部分消退,腋下和胸壁仍有水疱和糜烂面,唇黏膜和口腔内仍有糜烂和疼痛,影响进食,加服硫唑嘌呤50mg每日2次,治疗4周后皮疹和黏膜糜烂基本消失
复查胸部CT未见异常,黏膜溃疡和皮疹无复发,糖皮质激素和免疫抑制剂逐渐减量。同年3月,患者突然自行停用泼尼松和硫唑嘌呤,改为纯中药治疗,1周后口腔溃疡复发,全身出现散在水疱,坚持仅服中药治疗,1个月后出现中毒性表皮坏死松解症样皮疹。