下载或打开 医联APP 查看完整评论
立即下载
打开APP
患者,男,55岁8月,因“反复腰背部胀痛6+月”入院。6+月前,患者无明显诱因出现腰背部间歇性胀痛,无发热、恶心、呕吐,无尿频、尿急、尿痛,无肉眼血尿等症状,于当地医院查彩超示“双肾结石”行“左肾结石体外震波碎石”,因“右肾囊肿”而未处理“右肾结石”,术后患者恢复良好,无发热、腹胀、腹痛等不适。此后患者反复出现右侧腰背部不适,未予特殊处理。10+天前,患者自觉右侧腰背部胀痛加重,呈持续性,不伴发热,无肉眼血尿,无尿频、尿急、尿痛等症状,遂于我院门诊行CT示“右肾柱形状结石,右肾积水,右肾萎缩,右侧输尿管下段膀胱入口处结石影”。现患者为进一步诊治入院。
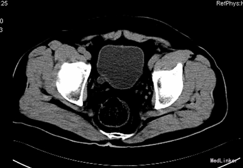
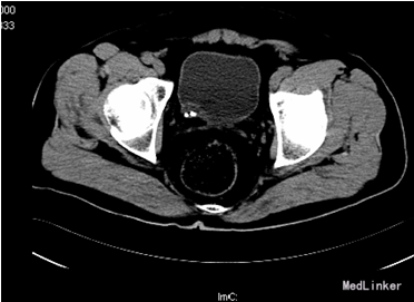
查体:腹部外形正常,全腹柔软,无压痛及反跳痛,腹部未触及包块,肾脏未触及;右肾区叩痛明显,左肾区无叩痛;双侧输尿管压痛点无压痛。 CT:右肾柱形状结石,右肾积水,右肾萎缩,右侧输尿管下段膀胱入口处结石影; 核素肾显像:左肾GFR:30.2ml/min,右肾19.4ml/min。




诊断:1、右肾结石 2、右侧输尿管开口囊肿 3、右侧输尿管下段结石 4、右肾囊肿 5、尿路感染 行右肾碎石术,术中见:右侧输尿管开口处一囊肿,约1.0cm×0.8cm,压迫右侧输尿管开口,随输尿管口喷尿时呈隆起行改变,囊肿内发现一大小约0.5×0.2cm大小结石,右肾盂大量沙粒样结石。

术后16天,右肾内结石基本消除,予以拔出支架管,输尿管开口囊肿确实少见,对于这种囊肿,各位老师有没有什么好的办法。