主诉:左上后牙治疗未完成,来我处继续治疗。 现病史:患牙食物嵌塞史,疼痛1日,首诊诊断“急性牙髓炎”,并开髓失活,因根管弯曲转诊。
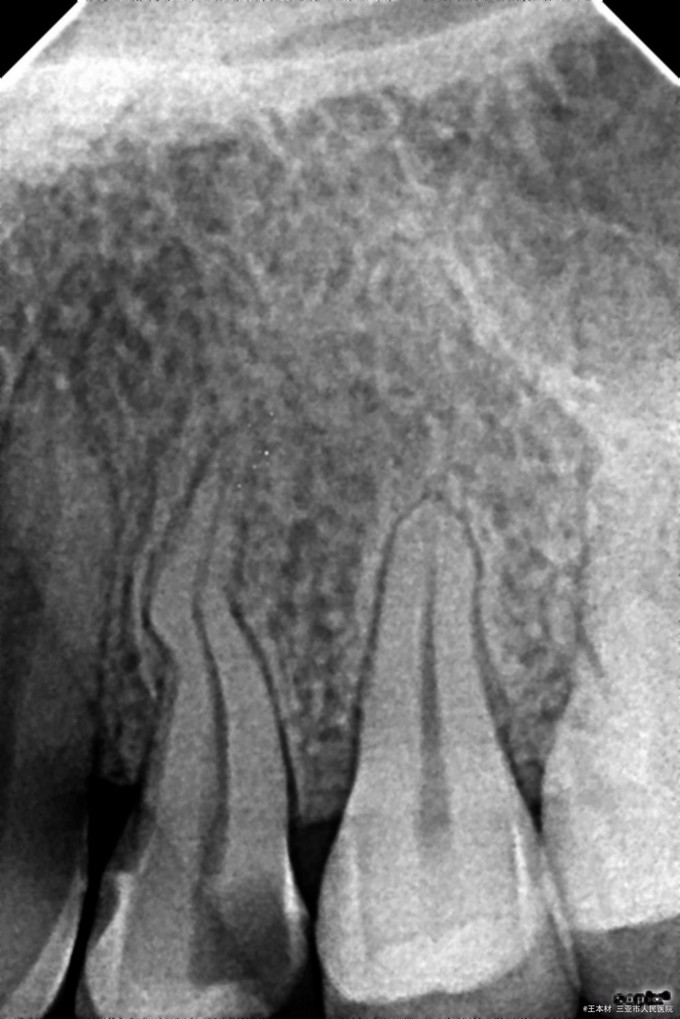
检查:患者22岁,24#远中邻颌面暂封材料,叩痛(+/-),松动度无,根尖部扪诊,压痛(-),牙髓活力冷测试无反应,余未见明显异常。 辅助检查:术前X线片示:24#根管中下1/3弯曲呈S形,牙周尚可,余未见明显异常。

诊断:24#急性牙髓炎 处置:24#调咬合,去暂封,取失活,去净腐质,髓室预备,暴露髓室底,根管口探查,GG钻(1-3#)扩大根管口,拔髓,根管探查疏通,根管预备至:PWL=16.0,40#,根尖定位仪根管长度测量,WL=B:19.5mm,P:19.0mm,均35#,参照点为平各自牙尖,EDTA凝胶,0.7%NaClO冲洗,棉捻干燥,CP棉球,ZOE简单充填。 医嘱:全身抗炎阿莫西林,治疗其间勿用患侧咀嚼硬物,5日后复诊,不适随诊。 5日后复诊如下: 主诉:患牙无明显异常。 检查:24#封物完好,髓室内清洁,叩诊叩痛(-),棉球无异味,余无明显异常。 处置:24#去暂封,取棉球,NaClO冲洗,棉捻干燥,牙胶尖+氢氧化钙碘仿糊剂根管充填,玻璃纤维桩,3MZ350树脂修行充填。 医嘱:2小时后使用患侧进食,择期冠修复,随诊。
随访:患者失联。 讨论:此病例,患者年纪较轻,根管影像清晰、无钙化,根管较宽敞,因此根管阻力主要来自于弯曲。 操作细节: 1、在根管长度测量之前扩大根管口以及根管上段,减少根管冠方阻力——就笔者而言,这是常规操作——同时,在此病例中,将冠部弯曲进行初步处理。 2、根管锉预弯技术是探查弯曲根管的必要手段,微压力状态下将根管锉旋转“送入”根管弯曲内小段,确定临时工作长度PWL。 3、“就地预备”至40#,为了避免形成台阶,对于狭窄根管可采取非正规的“逐步后退”,既,在PWL的初尖锉确定后,每增大一号,减少少量工作长度,具体情况视根管内阻力而定。此病例根管较宽大,因此没有逐步后退预备PWL。此步骤完成后,S形根管变成了普通弯曲。 4、操作过程中伴随EDTA凝胶,可以起到润滑、化学预备,以及溶解碎屑、避免碎屑挤压至根管下段的作用。 5、每一阶段完成后,大量冲洗,但不是在每次更换器械的时候冲洗。EDTA与次氯酸钠之间有中和反应,降低了各自的作用,个人建议,仅供参考。 6、个人认为,将治疗难度降低,是解决根管探查及预备、充填过程中的核心理念。就如同篮球运动,将篮球传切至“空位”、“近篮筐”时,是提高命中率的有效办法——库里除外。 附注:CP棉球的根管封药时间也在一点点的缩短,现在笔者的CP封药时间在2~3日。