下载或打开 医联APP 查看完整评论
立即下载
打开APP
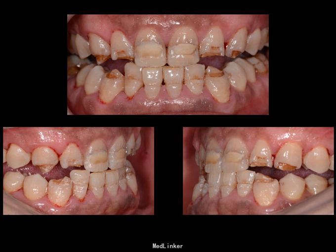
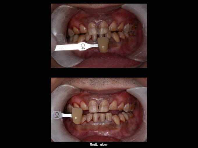
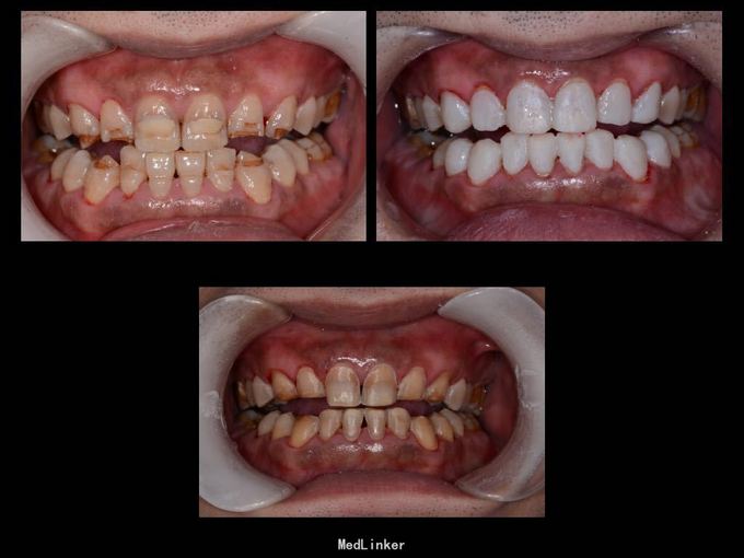
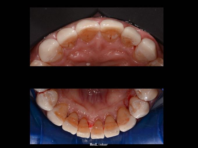
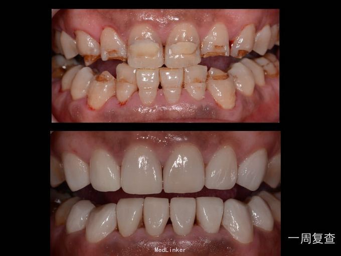
上下牙颜色灰褐色不美观伴牙齿有缺损,特来就诊


全口四环素牙,上下前牙伴釉质缺损,探(-),扣(-),局部牙龈红肿探出血,无其他不适


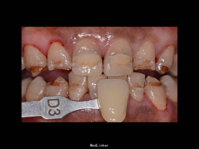
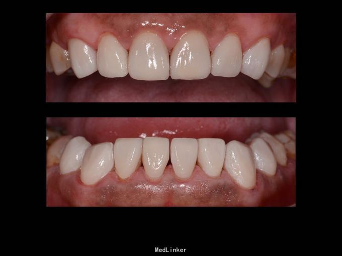
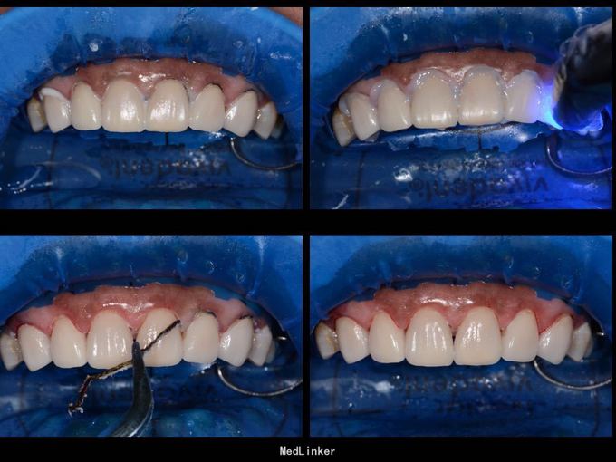
重度四环素牙,釉质发育不全 常规口腔洁治,抛光,牙周基础治疗。 复诊比色,消毒麻醉,树脂充填缺损牙体,常规瓷贴面预备,比色,取模型,做临时牙。 复诊常规试戴,试色,粘固,调合,抛光,常规瓷修复体医嘱









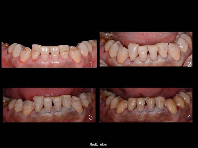
重度四环素牙,基牙颜色较深,瓷贴面需有一定厚度0.5-0.8mm,并且用遮色瓷,用奶白色粘固结剂,粘接,才可! 粘接时用橡皮障,会方便很多,








