下载或打开 医联APP 查看完整评论
立即下载
打开APP
主诉:发现肝内占位5天。 病史:中年女性,急性病程。.患者于5天前在外院行“宫腔镜下子宫内膜息肉电切术+宫腔粘连松解术+宫颈扩张术+宫颈内口探查术”术前检查腹部超声时发现肝右叶实质性病,无乏力、纳差、腹胀。
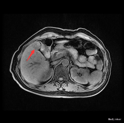
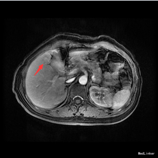
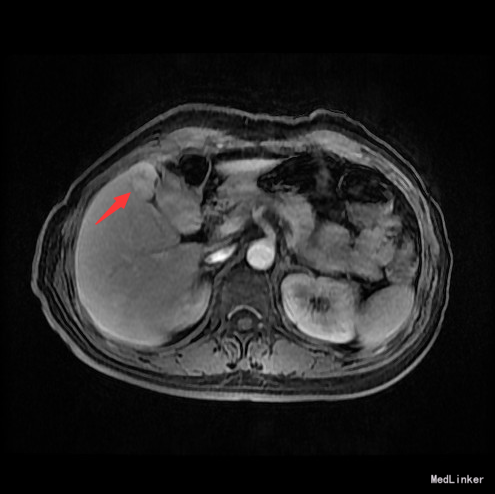
查体:腹平,腹壁静脉无显露,腹软,无压痛,无反跳痛。肝肋下未及。 辅查:AFP 3.43ng/ml, CEA 1.47ng/ml。MR:肝S5段占位性病变(26*25mm),考虑肝癌可能性大,建议活检。




诊断:肝占位病变 治疗:排除手术禁忌,于全麻下行“肝右叶肿物切除、胆囊切除术”,术程顺利,术后恢复良好。
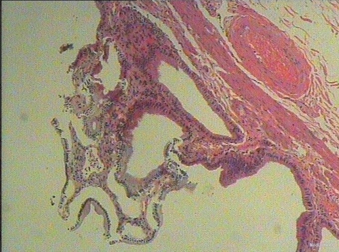
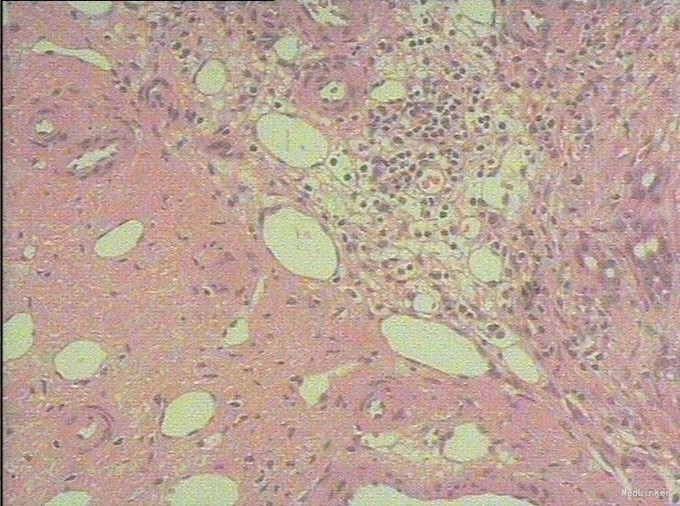
随访:术后病理示:(右肝肿物)送检肝组织部分呈结节状增生,结节间见粗细不等的纤维间隔,其内见血管增生,少量淋巴细胞及浆细胞浸润,符合肝局灶性结节状增生(FNH)。 讨论:肝局灶性结节增生(FNH)是肝内第二常见良性肿瘤,一般无临床症状,影像学表现,MRI上T1WI和T2WI与周围肝实质信号相近,增强扫描动脉期明显强化,若存在中央瘢痕,则中央瘢痕不强化,门脉期及静脉期强化程度减退,中央瘢痕则呈延迟强化。FNH需与肝癌和肝腺瘤鉴别,本例即误诊为肝癌,若存在中央瘢痕,则诊断较容易。


