下载或打开 医联APP 查看完整评论
立即下载
打开APP
主诉:体检发现肝占位10天 病史:中年男性,隐匿性起病。患者10天前于当地体检彩超提示肝内实质性占位性质待查,无腹痛腹胀,门诊以“肝占位”收入我科
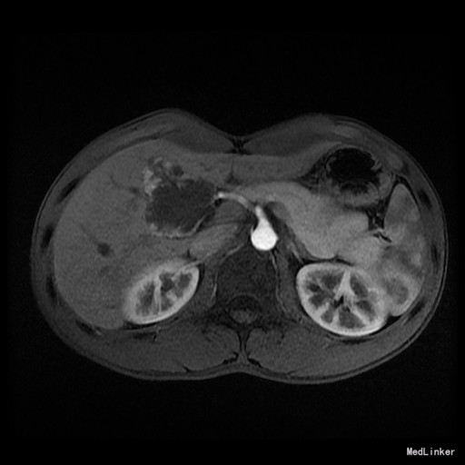
查体:腹平,未见曲张静脉、色素沉着,无局部隆起或凹陷,未见胃肠型,腹软,全腹部无压痛、反跳痛。 辅查:上腹部MRI(我院 2015-09-13):肝S4/5段血管瘤(1枚)。




诊断:肝血管瘤 治疗:完善相关检查,排除手术禁忌证于2015-09-18行肝S4/5段血管瘤切除+胆囊切除术,术后恢复良好,现一般情况好。
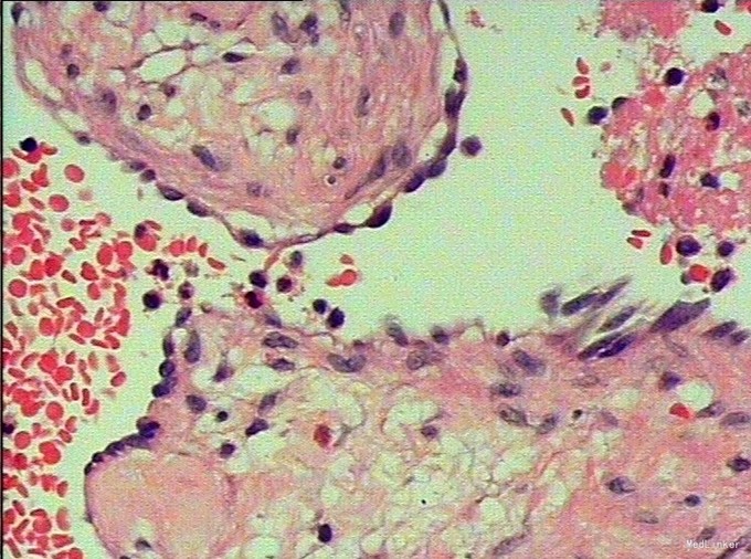
随访:(肝S4/5段血管瘤)海绵状血管瘤;周围肝组织小叶结构保存,肝细胞胞浆内见较多胆色素颗粒;“切缘”未见肿瘤。 讨论:肝海绵状血管瘤是肝脏最常见的良性肿瘤,约占肝脏良性肿瘤的84%,一般无临床症状,常为体检中发现。海绵状血管瘤内的血窦和血窦内缓慢流动的血液形成MRI颇具特征性表现,T2WI呈均匀高信号,随着回波时间延长,信号强度增高,临床上称为灯泡征。增强扫描呈“快进慢出”表现,即动脉期边缘结节样明显强化,门脉期及静脉期强化逐渐向中央扩展。影像学表现较具特征性,诊断不难。


