下载或打开 医联APP 查看完整评论
立即下载
打开APP
患者女,54岁,因“左肱骨远端陈旧性骨折内固定术后伴左肘关节活动受限1+年”入院。入院前1+年多,患者因车祸致左肱骨远端骨折,后在当地人民医院予以左肱骨远端切开复位内固定术(具体不详)。术后左肘关节活动功能受限,活动度数约为15°-65°左右,遂于今日入我院要求行进一步诊治。

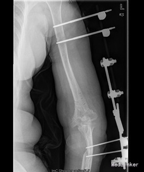
查体:左肘部可见一手术切口瘢痕,皮肤无明显红肿,破溃及静脉曲张等。左肘部及左上臂压痛不明显,未扪及明确异常。左肘部见一约15cm长竖形手术切口瘢痕。左肘关节活动功能受限,活动度数约为15°-65°左右,左上肢肌力及肢体远端运动感觉正常。 辅查:X片示左肱骨远端陈旧性骨折钢板螺钉及克氏针内固定术后。

初步诊断:左肱骨远端陈旧性骨折内固定术后,左肘关节非功能位僵直。 诊疗计划:拟行左肱骨内固定取出,左肘关节松解侧副韧带修复并外支架固定术


术中见左肱骨远端陈旧性骨折,折端已骨性愈合,内固定器钢板、螺钉及克氏针稳定无松动;左侧尺神经,左肘前、后侧关节囊与周围软组织紧密粘连,左肘前外侧见一异位骨化组织,约0.8cm X 1.5cm大小。
