下载或打开 医联APP 查看完整评论
立即下载
打开APP
29岁女性,因阴道肿物以及阴道分泌物恶臭味9个月就诊 否认手术史和激素治疗
妇科检查提示阴道口有灰色的息肉样肿块 超声提示子宫正常
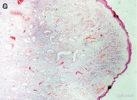
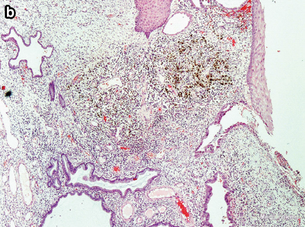
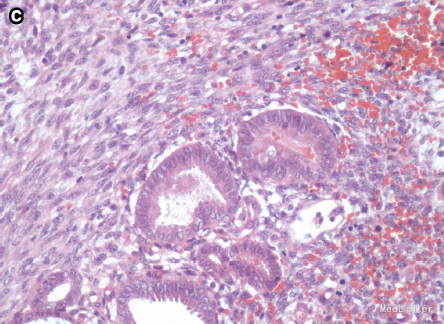
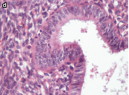
初步诊断为宫颈息肉 全麻下行肿物切除术,并将肿块基底部广泛切除 肉眼观为90*50*35mm带蒂肿块,有囊性部分和出血部分 病理提示为宫颈粘膜息肉,有子宫内膜基质和少数的内膜腺体







这个病例主要是提出来鉴别一下宫颈息肉和子宫内膜异位症,临床症状后者有周期性的出血比较重要,但是只从临床症状或者外观上还是不确定的,最好还是手术切除病灶做活检。