下载或打开 医联APP 查看完整评论
立即下载
打开APP
患者为中年男性。因“右肺癌术后2年,右胸疼痛2+月”入院。患者2年前于外院行“右肺癌根治术”,术后病检示:右上肺中-低分化腺癌,术后行4期NP方案化疗治疗。1-年前于乐山市人民医院复查CT示右肺中叶肺癌?行6周期TP方案化疗及放疗28次,复查胸部CT示右肺肿物较前增大。

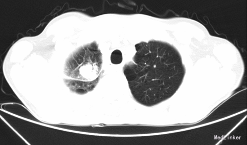
PCT/CT示:右肺癌术后放化疗后:1、右肺中叶糖代谢增高肿块,最大截面约39*29mm,考虑肿瘤复发;右侧胸腔少量包裹性积液;右侧第6肋后段术后改变。
诊断:1、右肺中叶肿块:右肺上叶腺癌术后复发?2、右肺上叶腺癌(T3N0M0 II期)术后放化疗后 。在全麻下行:经右胸右肺中叶外侧段切除+淋巴结清扫术。
肺癌复发后的治疗与原发性肺癌的治疗相似,以手术作为首选方法。但是由于大多数肺癌复发患者同时也伴有病灶的转移,再次手术切除完全的几率不大,若患者身体状况允许,可先行局部手术,再行放化疗以消灭残余病灶,并结合中医药治疗以起到提高免疫、减轻放化疗毒副作用、增强治疗效果的作用。