下载或打开 医联APP 查看完整评论
立即下载
打开APP
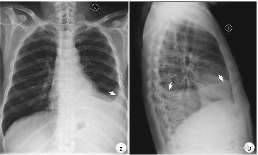
患者,女性,19岁,咳嗽,发热,左侧胸痛15天,加重伴呼吸困难5天入院。该患者于15天前无明显诱因出现咳嗽,干咳为主,伴发热,体温波动在37.5-38.0°,以午后为主,左侧胸痛明显,同呼吸运动有关,每当深吸气时加剧,在当地医院静脉滴注头孢类抗生素治疗10天后咳嗽发热症状未见明显缓解,5天前胸痛症状消失,但出现明显的呼吸困难,为明确诊断收治入院。病程中伴有盗汗、周身乏力、食欲减退。 患者既往无其他系统性疾病,其父有肺结核病史。
体温37.9°,气管右侧移位,左侧胸廓饱满,触觉语颤减弱,叩诊呈浊音,听诊呼吸音消失。其四肢大关节附近可见结节性红斑,间歇出现。 胸片:左肺胸腔积液 PPD试验:强阳性 痰涂片结果:发现结核杆菌 胸腔积液结果:淋巴细胞为主,间皮细胞<5%,蛋白质多>40g/L,腺苷脱氧酶(ADA)增高,沉渣找到结核杆菌。

诊断:结核性胸膜炎 治疗:1、胸腔穿刺把积液抽出 2、早起、规律、全程、足量、联合使用抗痨药物
患者使用每日用药方案,划归慢病中心归口管理,半年后复查痰涂片、胸片、生化等正常。 结核性肺炎诊断不难,但本病例在外院发热未做一些必要的检查,简单胸片也不做,一直使用抗生素治疗,属于滥用抗生素,在我国类似的病例还有很多。
