下载或打开 医联APP 查看完整评论
立即下载
打开APP
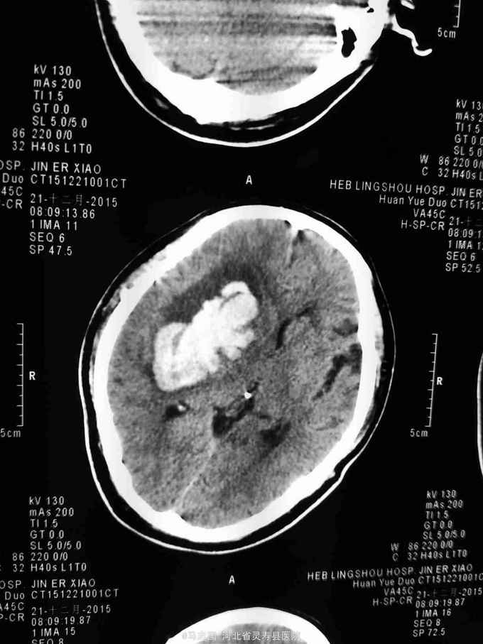
突发意识不清2小时入院,既往高血压病史,未规律服药。患者缘于2小时前劳动时,突发左侧肢体无力,烦躁不安,随即昏迷,无恶心呕吐,无肢体抽搐,无二便失禁,当地未予诊治,急打120接入院,急诊急查头CT:右侧基底节脑出血并脑疝形成,侧脑室内积血不除外,2.左额叶梗塞。为进一步诊治收住院。


呼吸20次/分,脉搏90次/分,血压210/90mmhg,中度昏迷,刺痛能定位,右侧瞳孔直径6mm,对光反射消失,四肢肌力不详,左侧肢体肌张力高,右侧肢体肌张力正常,左巴氏征阳性。

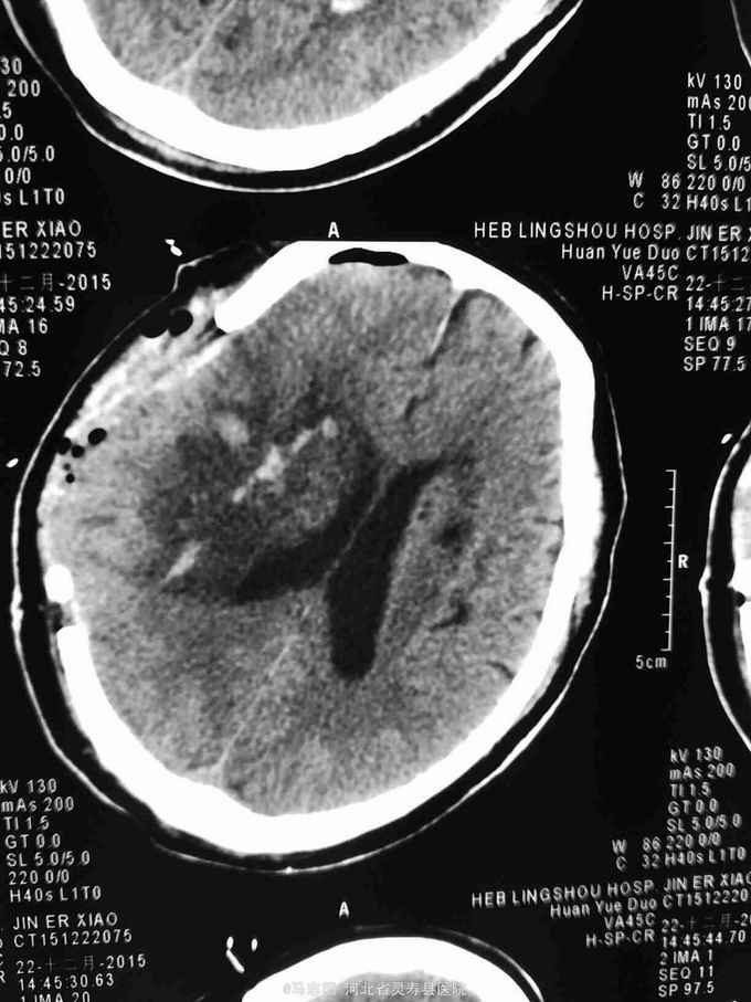
1.右侧基底节脑出血并脑疝形成2.高血压3级 极高危。急诊行血肿清除,去骨瓣减压术。术后给予降颅压,促醒保护脑神经等治疗。术后第二天复查CT如下


患者有高血压,未规律服用药物,且冬季天气寒冷,等可能导致血压升高,血管破裂,此类病人多有高血压病史,高血压未控制,如果口服抑制血小板药物阿司匹林等更易诱发出血。